This site uses tracking information. Visit our privacy policy. Click to agree to this policy and not see this again.

Ophthalmology and Visual Sciences

Acute Syphilitic Posterior Placoid Chorioretinitis

Acute Syphilitic Posterior Placoid Chorioretinitis

Grace Lee, BS; S. Bilal Ahmed, MD; Mahsaw Mansoor, MD; Elaine M. Binkley, MD
August 31, 2023

INITIAL PRESENTATION

Chief Complaint: Progressive vision loss in the left eye

History of Present Illness: A 68-year-old man presented to the emergency department at the University of Iowa with two weeks of progressive vision loss in the left eye. He had been seen by an outside clinician several weeks prior with concern for a branch retinal vein occlusion. At the time of presentation, he reported “looking through a fog” in the left eye. The right eye was asymptomatic.

In addition to his ocular symptoms, the patient was being evaluated for a new skin rash involving the palms of his hands (Figure 1), feet, and genitalia. The rash was characterized as rough, varying in color from white-to-brown, nummular in shape, tender, and non-pruritic. The patient otherwise denied fever, weight loss, shortness of breath, chest pain, or neurologic symptoms such as headache, weakness, and ataxia.

Past Ocular History

  • None

Past Medical History

  • Hypertension

Medications

  • Losartan

Allergies

  • Bupropion

Family History

  • Non-contributory

Social History

  • Denied tobacco, alcohol, or intravenous drug use. Denied recent travel or incarceration. The patient had never been tested for sexually transmitted infections but denied high-risk sexual behavior.

Review of Systems

  • Negative except for what is detailed in the history of present illness.


OCULAR EXAMINATION

  • External Exam (Figure 1)
    • Nummular, tender, and non-pruritic rash involving the palms of his hands, feet, and genitalia that was rough and varied in color from white to brown.
  • Nummular rash involving the bilateral palms.
    Figure 1: Nummular rash involving the bilateral palms, as described above.
  • Visual Acuity without correction
    • Right eye (OD): 20/20 by Snellen
    • Left eye (OS): count fingers, no improvement with pinhole
  • Ocular Motility
    • Both eyes (OU): Full
  • Intraocular Pressure (IOP)
    • OD: 14 mmHg by Tonopen
    • OS: 14 mmHg by Tonopen
  • Pupils
    • OD: 5 mm in dark, 3 mm in light
    • OS: 5 mm in dark, 3 mm in light, 2+ relative afferent pupillary defect (RAPD)
  • Confrontation visual fields
    • OU: Full
  • External
    • OU: Normal
  • Slit lamp exam
    Right eye Left eye
    Lids/Lashes Normal Normal
    Conunctiva/Sclera Clear and quiet Clear and quiet
    Cornea Clear Clear
    Anterior Chamber Deep and quiet Deep and quiet
    Iris Normal architecture Normal architecture
    Lens 1+ nucleus sclerosis 1+ nuclear sclerosis
    Vitreous Normal, no cell Normal, no cell
  • Dilated fundus examination (DFE)
    Right eye Left eye
    Disc Normal, no edema or pallor Trace blurring of the temporal disc margin
    Cup-to-disc ratio 0.30 0.30
    Macula Few small hard drusen, no retinal whitening Confluent placoid regions of retinal opacification throughout the macula with a few intra-retinal hemorrhages
    Vessels Normal, no retinal vasculitis Normal, no retinal vasculitis
    Periphery Normal, no retinal whitening Placoid regions of retinal opacification that extend into the nasal mid-periphery and a second area of opacification superior to the superotemporal arcade
  • Optos color fundus photography of the left eye at initial visit demonstrating regions of placoid retinal opacification involving the macula and the nasal mid-periphery, with a second, smaller region of opacification superotemporally in the mid-peripheral retina (white arrows)
    Figure 2: Optos color fundus photography of the left eye at initial visit demonstrating regions of placoid retinal opacification involving the macula and the nasal mid-periphery, with a second, smaller region of opacification superotemporally in the mid-peripheral retina (white arrows).
  • Additional testing
    • Fundus Autofluorescence
      Fundus autofluorescence (FAF) image of the left eye at initial visit demonstrating hyperautofluorescence in the regions corresponding to placoid whitening on examination (arrows)
      Figure 3: Fundus autofluorescence (FAF) image of the left eye at initial visit demonstrating hyperautofluorescence in the regions corresponding to placoid whitening on examination (arrows). There are a few stippled hypoautofluorescent spots within the inferior aspect of the macula and in the nasal mid-periphery.
    • Syphilis serologies:
      • Rapid plasma reagin (RPR) titer – reactive (1:1024)
      • Cerebrospinal fluid venereal disease research laboratory (CSF-VDRL) titer – reactive (1:2)
      • Total syphilis antibody – positive
    • Lyme disease titers:
      • IgG antibody – positive
      • Blood PCR – negative
      • Cerebrospinal fluid PCR – negative
    • HIV antigen: negative
    • ANA: negative
    • ANCA: weak positive
    • Erythrocyte sedimentation rate (ESR): 26 mm/hr (reference range: 0 to 15 mm/hr in men)
    • C-reactive protein (CRP): 10.3 mg/dL (reference value: <1.0 mg/dL)

Differential Diagnosis


CLINICAL COURSE

Due to the presence of diffuse placoid retinal opacification in the left eye on presentation (Figure 2), the patient underwent systemic infectious and inflammatory work up as noted above. Syphilitic testing returned positive with a reactive RPR of 1:1024 and positive total syphilis antibody. There was an elevated ESR of 26 mm/Hr and CRP of 10.3 mg/dL, and HIV testing was negative. Continuous IV penicillin 24,000,000 unit infusion over 24 hours for 14 days was initiated per Infectious Disease service recommendations. The patient also underwent an evaluation by the Neurology service for neurosyphilis. MRI of the brain and orbit were unremarkable.

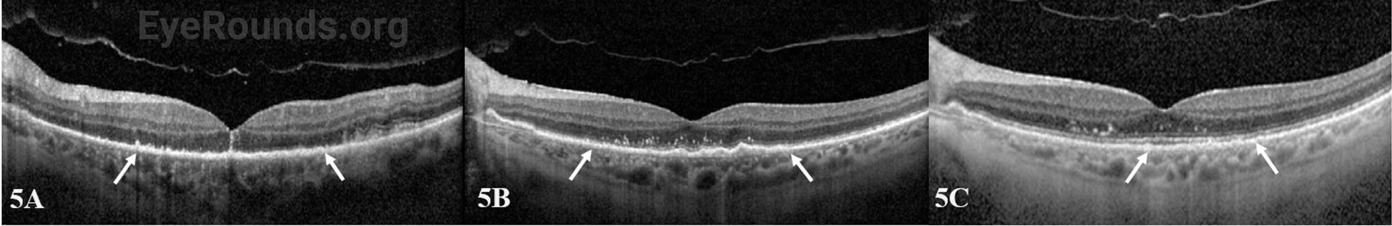
At one-week follow-up, the patient had improvement of his visual acuity to 20/400. Exam demonstrated interval improvement of the confluent areas of placoid whitening. Optical coherence tomography (OCT) of the left eye demonstrated early reconstitution of the outer retina and improvement of the subretinal hyper-reflective material. At 3-week follow-up, visual acuity improved to 20/50 with near resolution of the previously seen placoid whitening (Figure 4). There was residual outer retinal atrophy seen on OCT with early signs of reconstitution of outer retinal laminations (Figure 5B).

Optos color fundus photography of the left eye at 3-week follow-up.
Figure 4: Optos color fundus photography of the left eye at 3-week follow-up. There was near resolution of the previous plaques after initiation of penicillin treatment.
OCT macula of the left eye at the initial visit (A), 3-week follow-up (B), and 4-month follow-up (C)
Figure 5: OCT macula of the left eye at the initial visit (A), 3-week follow-up (B), and 4-month follow-up (C). At the initial visit there was prominent diffuse outer retinal atrophy through the macula involving the outer plexiform/nuclear layers with few small subretinal hyper-reflective deposits (arrows) (A). At the 3-week follow-up visit, there was persistent subretinal hyper-reflectivity with early reconstitution of the outer retinal laminations (B), which continued to improve at the 4-month follow-up visit (C).

At the 4-month follow-up clinic visit, the patient had further improvement of his visual acuity to 20/25, near complete resolution of the placoid whitening (Figure 6), and continued improvement in reconstitution of the outer retinal layers (Figure 5C).

Clarus color fundus photography of the left eye at the 4-month follow-up visit
Figure 6: Clarus color fundus photography of the left eye at the 4-month follow-up visit demonstrating near complete resolution of prior placoid opacification seen at the initial visit after completion of treatment with IV penicillin.

DIAGNOSIS: Acute syphilitic posterior placoid chorioretinitis (ASPPC)


DISCUSSION

For the purposes of this discussion, the educational focus will pertain to acute syphilitic posterior placoid chorioretinitis (ASPPC). For more on other clinical manifestations of ocular syphilis, click here.

Etiology/Epidemiology

In 1990 there were 20.3 cases of syphilis per 100,000 people, which decreased to 2.1 cases per 100,000 people in 2000 as the Centers for Disease Control increased their efforts to eradicate the disease. There has been a rise in syphilis cases in more recent years, and since 2010 the prevalence has doubled [1].

ASPPC is a rare manifestation of ocular syphilis caused by the spirochete Treponema pallidum. When first described by Gass, it was thought that this clinical phenomenon was predominantly found in immunocompromised patients [2], though current case reports have since demonstrated ASPPC in immunocompetent individuals [3]. Regardless, it is still common practice to test patients for HIV or to investigate other means of immunosuppression, such as chronic steroid use, chemotherapy, and diabetes mellitus [4]. ASPPC occurs bilaterally or unilaterally in even rates, though occurs more often in men compared to women (87% vs 13%) [4].

Pathophysiology

ASPPC was thought by Gass to be due to the widespread dissemination of spirochetes in secondary syphilis causing inflammation near the retinal pigment epithelium (RPE). This inflammation near the RPE gives rise to the classic yellow, multifocal, placoid lesions within the macula and peripapillary regions [2]. Others have suggested that this appearance is due to immune complex mediated hypersensitivity[5]. Additional theories include choroidal vessel thrombosis and subsequent dysfunction of the RPE/outer retina due to anti-beta 2 glycoprotein antibodies, which have been shown to be elevated in patients with ASPPC [6]. In reality, the pathogenesis of ASPPC is likely a combination of the two aforementioned infectious and inflammatory pathways that contribute to a common clinical phenotype [7].

Signs/Symptoms

Common presenting symptoms include pain, redness, blurred vision, scotoma, loss of vision, distorted vision, and/or floaters. Classic exam signs include yellowish-white placoid geographic lesions involving the posterior pole [8]. The placoid lesion has a ground-glass appearance that can be distinguished from the whitish necrotic lesions seen in toxoplasma and herpetic eye disease [1]. Retinal lesions are often accompanied by a range of vitritis, and there may be disc edema, serous retinal detachment, retinal hemorrhages, retinal vasculitis, or cystoid macular edema [9].

Testing/Laboratory work-up

Serologic testing for syphilis includes both non-treponemal and treponemal testing. Treponemal testing detects antibodies formed against Treponema pallidum proteins. The main treponemal tests available in the United States include the fluorescent treponemal antibody absorption test (FTA-ABS), microhemagglutination assay for T. pallidum (MHA-TP), and the T. pallidum enzyme immunoassay (TP-EIA) [10]. In the Unites States, a reactive treponemal test indicates infection with T. pallidum but cannot discern whether the infection is current or resolved, as the antibody remains detectable for life regardless of prior treatment.

Non-treponemal tests detect antibodies formed against decimated host cells, lipid-based antigens, and treponemes. The main non-treponemal tests in the United States include RPR, VDRL, and the toluidine red unheated serum test. These tests indicate the severity of infection and treponemal activity based on titer quantification [11]. The non-treponemal tests are less sensitive and less specific, as they become negative after appropriate treatment. Patients should also be tested for HIV and neurosyphilis should be ruled out with VDRL levels measured from the CSF via lumbar puncture [12].

Imaging

OCT, FAF, indocyanine green angiography (ICGA), fundus photography, fluorescein angiography (FA), and swept source OCT angiography (ss-OCTA) have all been utilized to characterize ASPPC. Below are classical manifestations of ASPPC using these imaging modalities.

  • OCT: Classic findings of ASPPC on OCT macula include reversible, focal thickening, and nodularity of the RPE with disruption of the overlying photoreceptor inner segment-outer segment junction [13]. Additional findings include loss of the external limiting membrane, accumulation of subretinal fluid, and punctate hyperreflectivity in the choroid [14].
  • ICGA: ICGA shows hypocyanescence due to hypoperfusion of the choriocapillaris and blocking effect from affected RPE [1].
  • FAF: Fundus autofluorescence typically shows hypoautofluorescence with smaller areas of hyperautofluorescence from residual RPE-photoreceptor complex material accumulation from impaired RPE metabolism [1].
  • FA: FA shows progressive hyperfluorescence within the lesion, commonly with areas of focal hypofluorescence, or “leopard spotting” [4]
  • SS-OCTA: Recent studies have shown that improvement in visual acuity correlates with improvement in choriocapillaris perfusion based on wide field ss-OCTA [15].

Treatment/Management/Guidelines

Co-management with Infectious Disease is recommended. While several case reports have noted spontaneous recovery before treatment [16], general recommendations to optimize overall prognosis and prevent future recurrence include treatment with 10–14 days of IV penicillin [7]. Therefore, the treatment for ocular syphilis is identical to that of neurosyphilis [1].

For patients with primary, secondary, and early stage latent syphilis, the treatment of choice is IM penicillin benzathine G at a dose of 2.4 MU [1]. For patients with a penicillin allergy, desensitization should be considered [17]. If alternative agents must be used, treatment of choice is oral doxycycline at 200 mg for 14 days [1].

In addition, for patients with late-stage latent syphilis, gummatous syphilis, and syphilis affecting the cardiovascular system, the treatment of choice is IM penicillin benzathine G at a dose of 2.4 MU given at 1 week, 8 weeks, and 15 weeks [1]. For patients with a penicillin allergy, treatment of choice is oral doxycycline 200 mg for 21 to 28 days [1].

Sexual contacts should be managed per guidelines from the Centers for Disease Control and Prevention.

EPIDEMIOLOGY OR ETIOLOGY

  • Rare form of syphilitic chorioretinitis, manifestation of infectious and hypersensitivity reactions
  • More common in men than women
  • Unilateral or bilateral

DIAGNOSIS

  • Serology – treponemal and nontreponemal testing
  • Multi-modal imaging including OCT, FAF, FA, color fundus photography

SYMPTOMS/SIGNS

  • Hallmark yellowish-white placoid geographic lesions involving the RPE/outer retinal junction, “ground glass” appearanceIntraoperative CBS: careful hydrodissection, vitrectomy if posterior capsule rupture
  • “Leopard spotting” on FA
  • Vitritis, optic nerve edema, serous retinal detachment, vasculitis, and/or retinal hemorrhages

TREATMENT/MANAGEMENT

  • Infectious Diseases consultation for co-management
  • IV penicillin for 10-14 days
  • If penicillin allergy, consider desensitization vs doxycycline

RELATED CASE: Ocular Syphilis Presenting with Posterior Subcapsular Cataract and Optic Disc Edema


References
  1. Neri P, Pichi F. Acute syphilitic posterior placoid chorioretinitis: when the great mimicker cannot pretend any more; new insight of an old acquaintance. J Ophthalmic Inflamm Infect 2022;12(1):9. [PMID 35192047]
  2. Gass JD, Braunstein RA, Chenoweth RG. Acute syphilitic posterior placoid chorioretinitis. Ophthalmology 1990;97(10):1288-1297. [PMID 2243679]
  3. Joseph A, Rogers S, Browning A, Hall N, Barber C, Lotery A, Foley E, Amoaku WM. Syphilitic acute posterior placoid chorioretinitis in nonimmuno-compromised patients. Eye (Lond) 2007;21(8):1114-1119. [PMID 17024225]
  4. Eandi CM, Neri P, Adelman RA, Yannuzzi LA, Cunningham ET, Jr. Acute syphilitic posterior placoid chorioretinitis: report of a case series and comprehensive review of the literature. Retina 2012;32(9):1915-1941. [PMID 22863970]
  5. de Souza EC, Jalkh AE, Trempe CL, Cunha S, Schepens CL. Unusual central chorioretinitis as the first manifestation of early secondary syphilis. Am J Ophthalmol 1988;105(3):271-276. [PMID 3344784]
  6. Shajry I, Akeely A, AlSulaiman S. Acute Syphilitic Posterior Placoid Chorioretinitis in a Saudi Patient. Middle East Afr J Ophthalmol 2020;27(3):191-194. [PMID 33488019]
  7. Ormaechea MS, Hassan M, Nguyen QD, Schlaen A. Acute syphilitic posterior placoid chorioretinopathy: An infectious or autoimmune disease? Am J Ophthalmol Case Rep 2019;14:70-73. [PMID 30923777]
  8. Franco M, Nogueira V. Severe acute syphilitic posterior placoid chorioretinitis with complete spontaneous resolution: The natural course. GMS Ophthalmol Cases 2016;6:Doc02. [PMID 27625961]
  9. Demas A, Vandendriessche A, Vermuso L, De Menibus-Demas L. Acute syphilitic posterior placoid chorioretinitis. Qjm 2019;112(6):443-444. [PMID 30690580]
  10. Binnicker MJ, Jespersen DJ, Rollins LO. Treponema-specific tests for serodiagnosis of syphilis: comparative evaluation of seven assays. J Clin Microbiol 2011;49(4):1313-1317. [PMID 21346050]
  11. Henao-Martínez AF, Johnson SC. Diagnostic tests for syphilis: New tests and new algorithms. Neurol Clin Pract 2014;4(2):114-122. [PMID 27606153]
  12. Weed M JA, Thurtell M. Ocular Syphilis Presenting with Posterior Subcapsular Cataract and Optic Disc Edema: 30-year-old female with progressive bilateral vision loss. EyeRounds.org Oct 10, 2012; Available from http://www.EyeRounds.org/cases/157-ocular-syphilis.htm.
  13. Burkholder BM, Leung TG, Ostheimer TA, Butler NJ, Thorne JE, Dunn JP. Spectral domain optical coherence tomography findings in acute syphilitic posterior placoid chorioretinitis. J Ophthalmic Inflamm Infect 2014;4(1):2. [PMID 24468306]
  14. Pichi F, Ciardella AP, Cunningham ET, Jr., Morara M, Veronese C, Jumper JM, Albini TA, Sarraf D, McCannel C, Voleti V, Choudhry N, Bertelli E, Giuliari GP, Souied E, Amer R, Regine F, Ricci F, Neri P, Nucci P. Spectral domain optical coherence tomography findings in patients with acute syphilitic posterior placoid chorioretinopathy. Retina 2014;34(2):373-384. [PMID 23860561]
  15. Barikian A, Davis J, Gregori G, Rosenfeld P. Wide field swept source OCT angiography in acute syphilitic placoid chorioretinitis. Am J Ophthalmol Case Rep 2020;18:100678. [PMID 32274447]
  16. Sidiqi AM, Navajas EV. SPONTANEOUS IMPROVEMENT OF SYPHILIS CHORIORETINITIS: CASE REPORT AND REVIEW OF THE LITERATURE. Retin Cases Brief Rep 2020;14(2):170-173. [PMID 29176535]
  17. STI Treatment Guidelines from CDC. Centers for Disease Control and Prevention, 2022-09-21. [Accessed on 2023-05-29, https://www.cdc.gov/std/treatment-guidelines/penicillin-allergy.htm] https://www.cdc.gov/std/treatment-guidelines/penicillin-allergy.htm.
Suggested citation format:

Lee G, Ahmed SB, Mansoor M, Binkley EM. Acute Syphilitic Posterior Placoid Chorioretinitis. EyeRounds.org. Posted August 31, 2023; Available from https://EyeRounds.org/cases/346-ASPPC.htm


last updated: 08/31/2023

Image Permissions:
Creative Commons

Ophthalmic Atlas Images by EyeRounds.org, The University of Iowa are licensed under a Creative Commons Attribution-NonCommercial-NoDerivs 3.0 Unported License.