This site uses tracking information. Visit our privacy policy. Click to agree to this policy and not see this again.

Ophthalmology and Visual Sciences

Fungal endophthalmitis

Hematogenous seeding in an immune suppressed patient with positive fungal and bacterial blood cultures

Fungal endophthalmitis

Hematogenous seeding in an immune suppressed patient with positive fungal and bacterial blood cultures
Aaron M. Ricca MD, Elaine M. Binkley MD, H. Culver Boldt MD
posted December 15, 2017

INITIAL PRESENTATION

Chief Complaint

Floaters and blurred vision of the right eye

History of Present Illness

A 23-year-old male was referred to the University of Iowa Hospitals and Clinics Department of Ophthalmology and Visual Sciences for evaluation of possible ocular extension of T-cell lymphoma to the right eye. The patient had a history of T-cell lymphoblastic lymphoma with associated CNS disease, actively being treated with systemic chemotherapy. He reported that 3 days prior to presentation to an outside ophthalmologist he noted an acute onset of new floaters and blurred vision in the right eye. He denied photopsias but reported photophobia and eye pain. The referring ophthalmologist noted a white lesion nasal to the disc and started prednisolone drops every 1-hour to the right eye while awake due to concern for ocular extension of his lymphoma. The patient's vision continued to decline in the right eye prompting referral for further evaluation.

While on chemotherapy, the patient had a history of opportunistic infections such as Aerococcus and Acinetobacter,in addition to thrombocytopenia, which required platelet transfusions. Additionally, he had a Hickman catheter placed, which is a chronic indwelling central venous line. He denied fevers, chills, or night sweats.

Past Ocular History

  • Refractive error

Past Medical History

  • T-cell acute lymphoblastic lymphoma (NOTCH1-mutated; RAS/PTEN-wt)
  • Atrial flutter with RVR
  • Leukemic meningitis
  • Recurrent pulmonary embolism, chronically anti-coagulated
  • Non-ischemic cardiomyopathy
  • Hypogammaglobulinemia
  • Pancytopenia secondary to chemotherapy
  • MRSA (Methicillin Resistant Staph aureus) and VRE (Vancomycin Resistant Enterococcus) colonization

Medications

  • Chemotherapy with delayed intensification (model arm D of COG AALL0434) including pegaspargase, cyclophosphamide, cytarabine, nelarabine, thioguanine, intrathecal methotrexate, and dexamethasone
  • Acyclovir 400mg by mouth twice daily
  • Bupropion 100mg by mouth twice a day
  • Dronabinol 2.5-5mg by mouth daily
  • Lovenox 120mg subcutaneously daily
  • Fluconazole 100mg by mouth daily
  • Furosemide 40mg by mouth daily
  • Gabapentin 600mg by mouth twice a day
  • Hydrocortisone 10mg by mouth twice a day
  • Hydromorphone 2mg by mouth as needed
  • Levofloxacin 500mg by mouth daily
  • Lisinopril 2.5mg by mouth daily
  • Metoprolol succinate 100mg by mouth daily
  • Ondansetron4-8mg by mouth every 8 hours as needed
  • Sildenafil 25mg by mouth as needed
  • Thiamine 100mg by mouth daily
  • Trazodone 50mg by mouth every evening as needed

Allergies

Sulfonamides

Family History

No family history of lymphoma, leukemia, heart disease, or lung disease

Social History

Rarely uses cigarettes, occasionally uses chewing tobacco, social alcohol use, and no illicit drug use

Review of Systems

Negative except for what is detailed in the history of present illness

OCULAR EXAMINATION

Visual Acuity with/without correction (Snellen)

  • Right eye (OD): 20/100 -1 with eccentric fixation
  • Left eye (OS): 20/20

Ocular Motility/Alignment

  • OD: Full, Orthotropic
  • OS: Full, Orthotropic

Intraocular Pressure (IOP) by Goldmann Applanation

  • OD: 8 mmHg
  • OS: 9 mmHg

Pupils

  • OD: 8mm in dark, 7mm in light, minimally reactive and no relative afferent pupillary defect
  • OS: 6mm in dark, 5mm in light, no relative afferent pupillary defect

Confrontation visual fields

  • OD: Total superotemporal and partial inferotemporal defects
  • OS: Full to count fingers

Slit lamp exam

OD

  • Lids/lashes:Normal
  • Conjunctiva/sclera: Trace injection
  • Cornea: Fine white blood cell on the inferior 25% of the corneal endothelium
  • Anterior chamber: 4+ white blood cells, 2+ flare
  • Iris: Dilated, no lesions, no neovascularization
  • Lens: Clear

OS

  • Lids/lashes:Normal
  • Conjunctiva/sclera: Clear and quiet
  • Cornea: Clear
  • Anterior chamber: Deep and quiet
  • Iris: Dilated, normal architecture
  • Lens: Clear

Dilated fundus examination (DFE)

OD

  • Vitreous: 3+ anterior vitreous cell
  • Disc: Poor view, obscured by white infiltrate and hazy vitreous
  • Cup-to-disc ratio: Poor view
  • Macula: Poor view
  • Vessels: Poor view
  • Periphery: There was a 20/100 view with vitreous opacities. White infiltrates obscured the optic nerve. The white infiltrates extended nasally into the mid-periphery. There were retinal hemorrhages superonasal to the optic nerve. There was a white, pre-retinal opacity measuring 4 x 3 x 2 mm in the inferior mid-periphery. The temporal retina appeared grossly normal.

OS

  • Vitreous: No anterior vitreous cell
  • Disc: Pink and sharp
  • Cup-to-disc ratio: 0.1
  • Macula: Normal, no heme, good foveal reflex
  • Vessels: Normal in course and caliber
  • Periphery: Normal, no heme, no cotton wool spots

Optos photo of the right eye on presentation demonstrated the significant anterior vitreous cell, dense white vitreous opacities, and very poor view of most of the fundus.

Figure 1. Optos photo of the right eye on presentation demonstrated the significant anterior vitreous cell, dense white vitreous opacities, and very poor view of most of the fundus.

Additional testing

Standardized echography

Echography of the right eye demonstrated dense irregular vitreous opacities that were concentrated posteriorly along the fundus and surrounding the optic disc. There was irregular retinochoroidal layer thickening. The retina was attached. Echography of the right eye demonstrated dense irregular vitreous opacities that were concentrated posteriorly along the fundus and surrounding the optic disc. There was irregular retinochoroidal layer thickening. The retina was attached.

Figure 2. Echography of the right eye demonstrated dense irregular vitreous opacities that were concentrated posteriorly along the fundus and surrounding the optic disc. There was irregular retinochoroidal layer thickening. The retina was attached.

Differential Diagnosis

CLINICAL COURSE

Given the high concern for infectious endophthalmitis due to the patient's immune suppression and indwelling catheter, on the day of presentation, the patient was taken to the operating room for urgent pars plana vitrectomy with injection of intravitreal antibiotics (vancomycin and ceftazidime), antivirals (foscarnet), and antifungals (amphotericin B). A vitreous biopsy was obtained and sent for cytology, culture, and polymerase chain reaction (PCR).

The patient had daily follow up immediately post operatively. On post-operative day 2 the pathology from the vitreous biopsy returned with hyphae on the aerobic smear. Vitreous cultures were still pending and blood cultures showed no-growth. At this time, a repeat vitreous tap and inject of amphotericin B was performed. The patient was started on nightly intravenous amphotericin B managed in coordination with the hematology/oncology team. By the following day, vitreous biopsy cultures grew Aspergillus fumigatus and the intravenous medication was switched to voriconazole. Repeat intravitreal tap and injections of amphotericin B, then eventually voriconazole, were continued every other day for a total of 3 weeks. Throughout this time, echography was used for serial monitoring given the poor view to the posterior pole due to the vitreous debris. The Hickman catheter was presumed to be the source for the infection and was removed, as is standard of care for source control with presumed colonization of the catheter. The infection cleared and vitreous debris slowly improved. Unfortunately, the vision did not improve beyond counting fingers. After several months of follow-up the vision has remained stable and the inflammation and infection have not recurred.

Color fundus photo montage demonstrating consolidation of the nasal vitreous opacities with resolution of the opacities overlying the optic disc.

Figure 3. Color fundus photo montage demonstrating consolidation of the nasal vitreous opacities with resolution of the opacities overlying the optic disc.

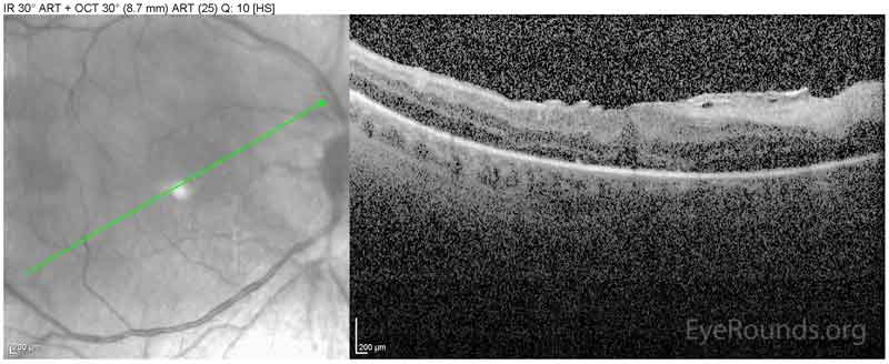
Spectral-domain OCT obtained the same day as the above photograph demonstrating development of an epiretinal membrane with distortion of the foveal contour.

Figure 4. Spectral-domain OCT obtained the same day as the above photograph demonstrating development of an epiretinal membrane with distortion of the foveal contour.

Color fundus photo montage part-way through the treatment course demonstrating improved media opacity and yellow-white colored pre-retinal opacities nasally and inferiorly

Figure 5. Color fundus photo montage part-way through the treatment course demonstrating improved media opacity and yellow-white colored pre-retinal opacities nasally and inferiorly

DIAGNOSIS

Fungal endophthalmitis due to Aspergillus fumigatus in the setting of T-cell lymphoblastic lymphoma

DISCUSSION

Etiology/Epidemiology

Endophthalmitis is the disease process where the vitreous and/or the aqueous humors are infected by bacteria or fungi. Endophthalmitis can be exogenous, due to an external penetrating source via trauma or surgery, or endogenous, due to hematogenous seeding of the microbe. Fungal endophthalmitis is overall much less common than bacterial endophthalmitis, however endogenous endophthalmitis is due to a fungus over half of the time with Candida being the most common and Aspergillus the second most common causative species.[1-3] Males and females are equally effected and the disease is initially unilateral in 75% of patients, although a quarter of that population progresses to develop bilateral disease.[4] Predisposing factors include those commonly associated with the development of fungemia such as central venous catheters, history of gastrointestinal (GI) trauma or surgery, use of broad-spectrum antibiotic therapy, hyperalimentation, neutropenia, IV drug abuse, corticosteroid therapy, and diabetes mellitus.[1,5] The presence of candida endophthalmitis in patients with multiple comorbidities is thought to be an indicator of high mortality risk.[1]

Endogenous endophthalmitis due to a mold is relatively rare; the two most common causative molds are Aspergillus and Fusarium.[5] Aspergillus is a saprophytic mold and is present in the soil across the globe. Humans are ubiquitously exposed to conidia (spores) via inhalation. Immunocompetent individuals rarely develop infection.[6] Aspergillus fumigatus is the most common subspecies of Aspergillus responsible for causing endophthalmitis as in this case. Other species known to cause infections include A. flavus, A. terreus, A. niger, and A. nidulans.[6] One large collection of 84 patients with Aspergillus endophthalmitis found that over 90% of the time there was at least one underlying condition leading to immunodeficiency, and often there were multiple conditions present.[4] In this same study there was no significant difference in infection rates between males and females and all ages were involved.

The most common risk factor for developing Aspergillus endophthalmitis is IV drug abuse; other factors strongly associated with developing this disease include recent hospitalizations, immunosuppression due to organ transplants, malignancy, and lung disease.[2,4,6] Aspergillus is also known cause keratitis and orbital cellulitis.

Pathophysiology

Aspergillus endophthalmitis is typically endogenous and acquired by hematogenous seeding in most cases. The most common sources of hematogenous seeding are the lungs or via IV drug abuse.[4] The conidia travel via the blood to the choroid where they seed and then migrate to infect multiple tissues in the eye.

Signs/Symptoms

The presenting symptoms of fungal endophthalmitis are often non-specific, with the most common complaint being decreased vision.[5] Other symptoms commonly reported include severe eye pain, ipsilateral headache, redness, eye swelling, photophobia, and floaters.[2 ,4] The presenting vision can be relatively preserved but is often decreased to counting fingers or light perception.[4 ,6] Anterior chamber reaction with cells in the aqueous plus/minus a hypopyon is often present.[4 ,6] On dilated fundus exam one sees vitritis; followed by yellowish, fluffy exudative chorioretinal infiltrates with ill-defined borders. These lesions are commonly located in the macula. The vitreous also often contains fluffy, irregular, yellowish exudative masses.[4 ,6 ,7] Intraretinal hemorrhages are frequently present, as is often the case in any form of endophthalmitis.[6] Aspergillus endophthalmitis is associated with infection of other organs, such as the lungs and heart. For this reason a thorough review of systems is crucial and often elicits other positive symptoms suggestive of systemic involvement.[4]

Testing/Laboratory work-up

The appropriate workup is patient dependent and based on the clinical picture at the time of presentation. Cultures of the aqueous or vitreous fluid can prove useful in confirming the diagnosis as well as establishing antimicrobial sensitivities.[4 ,6] Histological analysis and evaluation by polymerase chain reaction (PCR) can also be helpful in identifying the causative organism faster than routine cultures.[7] Several papers document the benefit of performing a pars plana vitrectomy for diagnostic as well as therapeutic purposes.[2 ,6] Should medical or surgical correction prove futile, diagnosis can be made via histological analysis of enucleated eyes with stain and culture.[4] Blood and sputum cultures can also prove useful. Most commonly, a full systemic workup is required to screen for other areas of infection or causes of immunodeficiency, to be coordinated with colleagues in internal medicine.

Imaging

B-scan echography is useful for monitoring patients, as in this case where the view to the posterior pole was limited by vitreous opacities. Color fundus photography is an additional modality that may be used to document the diagnosis and to monitor the patients' progress at subsequent visits, as was evident in this patient. Spectral-domain OCT (optical coherence tomography) imaging of fungal endophthalmitis demonstrates a diffusely thick choroid with subretinal exudation in the presence of a mostly normally organized neurosensory retina.[8] Many infectious or malignant causes of chorioretinal infiltrates with similar appearance to Aspergillus show disruption and loss of the normal retinal layers on OCT, further enhancing diagnostic yield.[8] It has been shown that Aspergillus produces a predominantly choroidal infiltrate, which is contrary to common viral or protozoal uveitidies where there is widespread involvement of the neurosensory retina.[8] Wide-field angiography can assist in ruling out viral or autoimmune diseases that present with diffuse vasculitis, as the vasculitis present in Aspergillus infection is localized to near the chorioretinal lesions.[8]

Treatment/Management/Guidelines

Given the rarity of this disease process, there are no well-executed randomized controlled trials comparing early vitrectomy versus intravitreal injection with or without systemic therapy. As such, the management of endophthalmitis secondary to Aspergillus is approached in a case-by-case basis with some combination of the aforementioned interventions. In the presence of vitritis, chorioretinitis involving the macula, or endophthalmitis it is advantageous to treat with intravitreal antifungal medications with or without early vitrectomy.[9] Many providers attempt treatment with intravitreal antifungals initially. Amphotericin B has traditionally been the intravitreal antifungal of choice with an initial dose of 5-10 mcg, with some clinicians giving as much as 20 mcg, however there are risks of adverse effects at higher concentrations, such as retinal toxicity.[2 ,6]  Intravenous and intravitreal voriconazole is well tolerated by patients with few adverse effects. The recommended dose for intravitreal voriconazole is 100 mcg and the number of injections depends on the patients response.[10] The use of topical or oral corticosteroids is controversial. Some providers feel that they are not indicated while others use them once the infection is being adequately treated. Steroids should never be used as first line therapy without adequate anti-microbial coverage as this can worsen the infection. These patients require frequent follow up as repeat injections are often warranted and performed within days to weeks, again depending on patient response.[6] One study documented the efficacy of intravitreal voriconazole in treating patients with culture proven, fluconazole and amphotericin resistant fungal endophthalmitis with complete resolution of the disease.[11] Several recent manuscripts have documented the benefits and efficacy of treating Aspergillus with intravitreal voriconazole with or without early vitrectomy with good outcomes.[12 ,13] A recent study in a guinea pig model of Aspergillus endophthalmitis showed greater efficacy with intravitreal voriconazole therapy over intravitreal amphotericin B.[14] If the anterior segment is involved the patient may benefit from intracameral voriconazole and anterior segment washout.[11]

Historically, many patients were initially treated first with intravenous amphotericin B.[4] However, the significant adverse effects of systemically administered amphotericin B, such as hypertension and nephrotoxicity, limited the management potential with this drug.[9] Prior to the advent of new-generation triazoles including posaconazole, voriconazole, and ravuconazole, intravenous and intravitreal amphotericin B was the preferred therapy.[10]Currently, systemic anti-fungal therapy often involves a newer generation azole with amphotericin B being used less frequently. Voriconazole has good oral bioavailability as well as excellent ocular penetration. This, combined with the limited systemic side effect profile when compared to other antifungals, often makes it the first-line when oral therapy is pursued.[7] It has also been suggested that oral antifungal therapy with second generation azoles can be used as monotherapy in cases of limited fungal chorioretinitis not involving the macula.[10] Recommended dosing with oral voriconazole for systemic therapy is 6 mg/kg for 2 doses, then 4 mg/kg twice daily. The duration of treatment should last for approximately 4-6 weeks, or longer depending on the observed response by funduscopic exam.[10] The infectious disease service is often consulted to assist with dosing and medication administration as well as laboratory monitoring.

Careful observation of the clinical course is warranted and the importance of a multidisciplinary approach to the overall management of the patient should be emphasized.[10] Treatment plans are adjusted throughout the course of the disease and largely depend on changes in visual acuity and clinical exam findings. Fundus photography and B-scan ultrasonography can be used to track disease process and document response to therapy.  Late complications, such as retinal detachment from tears at the edge of the chorioretinal scars, epiretinal membranes, and cataract have been described.[15] Despite the various effective treatment modalities for fungal endophthalmitis, infections due to Aspergillus are some of the most severe and have poorer visual outcomes than infections due to other fungi such as Candida.[3]

EPIDEMIOLOGY
  • Fungal endophthalmitis is less common than bacterial, however >50% of endogenous endophthalmitis is due to a fungus[1-3]
  • Candida is the most common and Aspergillus the second most common causative organism[1-3]
  • The 2 most common causative molds are Aspergillus and Fusarium [5]
  • Males and females are equally affected[4]
  • 75% of the time patients present with unilateral disease; 25% of that population progresses to develop bilateral disease[4]

 

RISK FACTORS
  • >90% of the time there is at least one cause of immunodeficiency, and often there are multiple causes[4]
  • Risk factors for fungemia include central venous catheters, history of GI trauma or surgery, use of broad-spectrum antibiotic therapy, hyperalimentation, neutropenia, IV drug abuse, corticosteroid therapy, and diabetes mellitus[1 ,5]
  • Risk factors associated specifically with Aspergillus include IV drug abuse, recent hospitalizations, immunosuppression, and lung disease[2 ,4 ,6]
SIGNS/SYMPTOMS
  • Most common presenting complaint is decreased vision[5]
  • Other common symptoms include severe eye pain, ipsilateral headache, redness, eye swelling, photophobia, and floaters[2 ,4]
  • Vision is frequently very poor at initial presentation
  • Anterior chamber reaction plus/minus hypopyon is frequently present[4 ,6]
  • Vitritis present in almost all cases[4 ,6 ,7]
  • Yellowish, fluffy exudative chorioretinal infiltrates with ill-defined borders that are commonly located in the macula[4 ,6 ,7]
  • Vitreous masses appear as fluffy, irregular, yellowish exudative masses[4 ,6 ,7]
  • Intraretinal hemorrhages are frequently present[6]
  • Review of systems is almost always positive, suggestive of comorbidities or systemic involvement
TREATMENT/MANAGEMENT
  • Fundus photographs and B-scan for monitoring of disease progression and efficacy of treatment
  • Vitreous tap or diagnostic and therapeutic vitrectomy with gram stain and culture is beneficial in determining chorioretinitis vs. endophthalmitis
  • Intravitreal injection with voriconazole (recommended dose is 100 mcg) or amphotericin B with or without early vitrectomy in cases of endophthalmitis or chorioretinitis involving the macula is warranted [10]
  • Systemic antifungal therapy (fluconazole, amphotericin, or voriconazole) can be used as adjuvant, or sole therapy in limited chorioretinitis not involving the macula. Recommended dosing with oral voriconazole for systemic therapy is 6 mg/kg for 2 doses, then 4 mg/kg twice daily for 4-6 weeks, or longer as needed[10]
  • AC washout and intracameral anti-fungal therapy in cases of AC involvement[11]
References
  1. Khan FA, Slain D, Khakoo RA. Candida endophthalmitis: focus on current and future antifungal treatment options. Pharmacotherapy 2007;27(12):1711-1721.  https://www.ncbi.nlm.nih.gov/pubmed/18041891
  2. William A, Spitzer MS, Deuter C, Blumenstock G, Partsch M, Voykov B, Ziemssen F, Bartz-Schmidt KU, Doycheva D. Outcomes of Primary Transconjunctival 23-Gauge Vitrectomy in the Diagnosis and Treatment of Presumed Endogenous Fungal Endophthalmitis. Ocul Immunol Inflamm 2017;25(2):239-245.  https://www.ncbi.nlm.nih.gov/pubmed/26829468
  3. Essman TF, Flynn HW, Jr., Smiddy WE, Brod RD, Murray TG, Davis JL, Rubsamen PE. Treatment outcomes in a 10-year study of endogenous fungal endophthalmitis. Ophthalmic Surg Lasers 1997;28(3):185-194.  https://www.ncbi.nlm.nih.gov/pubmed/9076791
  4. Riddell J, McNeil SA, Johnson TM, Bradley SF, Kazanjian PH, Kauffman CA. Endogenous Aspergillus endophthalmitis: report of 3 cases and review of the literature. Medicine (Baltimore) 2002;81(4):311-320.  https://www.ncbi.nlm.nih.gov/pubmed/12169886
  5. Durand ML. Bacterial and Fungal Endophthalmitis. Clin Microbiol Rev 2017;30(3):597-613.  https://www.ncbi.nlm.nih.gov/pubmed/28356323
  6. Weishaar PD, Flynn HW, Jr., Murray TG, Davis JL, Barr CC, Gross JG, Mein CE, McLean WC, Jr., Killian JH. Endogenous Aspergillus endophthalmitis. Clinical features and treatment outcomes. Ophthalmology 1998;105(1):57-65.  https://www.ncbi.nlm.nih.gov/pubmed/9442779
  7. Gruener AM, Allen F, Stanford MR, Graham EM. Aspergillus fumigatus Endophthalmitis with Necrotizing Scleritis following Pars Plana Vitrectomy. Case Rep Ophthalmol Med 2016;2016:9289532.  https://www.ncbi.nlm.nih.gov/pubmed/27379189
  8. Adam CR, Sigler EJ. Multimodal imaging findings in endogenous Aspergillus endophthalmitis. Retina 2014;34(9):1914-1915.  https://www.ncbi.nlm.nih.gov/pubmed/24695061
  9. Shah CP, McKey J, Spirn MJ, Maguire J. Ocular candidiasis: a review. Br J Ophthalmol 2008;92(4):466-468.  https://www.ncbi.nlm.nih.gov/pubmed/18369061
  10. Riddell J, Comer GM, Kauffman CA. Treatment of endogenous fungal endophthalmitis: focus on new antifungal agents. Clin Infect Dis 2011;52(5):648-653.  https://www.ncbi.nlm.nih.gov/pubmed/21239843
  11. Sen P, Gopal L, Sen PR. Intravitreal voriconazole for drug-resistant fungal endophthalmitis: case series. Retina 2006;26(8):935-939.  https://www.ncbi.nlm.nih.gov/pubmed/17031296
  12. Kramer M, Kramer MR, Blau H, Bishara J, Axer-Siegel R, Weinberger D. Intravitreal voriconazole for the treatment of endogenous Aspergillus endophthalmitis. Ophthalmology 2006;113(7):1184-1186.  https://www.ncbi.nlm.nih.gov/pubmed/16713628
  13. Ferreira TB, Vaz F, Rodrigues A, Donato S. Intravitreal voriconazole as primary treatment for endogenous Aspergillus endophthalmitis. BMJ Case Rep 2009;2009:bcr1020081110.  https://www.ncbi.nlm.nih.gov/pubmed/21687050
  14. Zhao J, Cheng Y, Song X, Wang C, Su G, Liu Z. A Comparative Treatment Study of Intravitreal Voriconazole and Liposomal Amphotericin B in an Aspergillus fumigatus Endophthalmitis Model. Invest Ophthalmol Vis Sci 2015;56(12):7369-7376.  https://www.ncbi.nlm.nih.gov/pubmed/26574795
  15. Dave VP, Pathengay A, Relhan N, Sharma P, Jalali S, Pappuru RR, Tyagi M, Narayanan R, Chhablani J, Das T, Flynn HW, Jr. Endophthalmitis and Concurrent or Delayed-Onset Rhegmatogenous Retinal Detachment Managed With Pars Plana Vitrectomy, Intravitreal Antibiotics, and Silicone Oil. Ophthalmic Surg Lasers Imaging Retina 2017;48(7):546-551.  https://www.ncbi.nlm.nih.gov/pubmed/28728182
Suggested citation format:

Ricca AM, Binkley EM, Boldt HC. Fungal endophthalmitis: Hematogenous seeding in an immune suppressed patient with positive fungal and bacterial blood cultures. EyeRounds.org. posted December 15, 2017; Available from https://EyeRounds.org/cases/264-Fungal-Endophthalmitis.htm


last updated: 12/15/2017

Image Permissions:
Creative Commons

Ophthalmic Atlas Images by EyeRounds.org, The University of Iowa are licensed under a Creative Commons Attribution-NonCommercial-NoDerivs 3.0 Unported License.