This site uses tracking information. Visit our privacy policy. Click to agree to this policy and not see this again.

Ophthalmology and Visual Sciences

Malignant Lesions of the External Periocular Tissues

A Tutorial

Malignant Lesions of the External Periocular Tissues

A Tutorial

Contributors: Lucas T. Lenci, MD, Sebastian J. Sciegienka,Christopher A. Kirkpatrick, MD, TJ Clark, MD, Nasreen A. Syed, MD; Erin M. Shriver, MD

The University of Iowa
Department of Ophthalmology and Visual Sciences

June 14, 2017



Introduction

A thorough ophthalmic examination should always include careful inspection of the external periocular tissues. These tissues include specialized structures that are prone to unique pathology. For example, the eyelid has cilia, sebaceous glands of Zeis, apocrine sweat glands of Moll, eccrine sweat glands, and vellus hairs. Deep to the eyelid dermis lays the orbicularis muscle followed by the tarsal plate containing the sebaceous Meibomian glands and ducts. These structures can give rise to both benign and malignant proliferations. Here we discuss those that are malignant. Please refer to this article to see benign eyelid lesions. The following discussion includes the presentation and pathology of common eyelid malignancies. This is meant to be an overview and tutorial. Additionally, treatment options are briefly discussed but are not exhaustive. Treatment of these malignant tumors depends on the extent of invasion as well as lymph node and systemic involvement.

Keratoacanthoma

Keratoacanthoma is a rare tumor usually occurring in fair-skinned individuals over areas of chronic sun exposure or sites of prior trauma. Most commonly occurs during the 6th decade of life. They are regarded as part of the spectrum of squamous cell carcinomas. These are more common in immunocompromised individuals. Some classify keratoacanthoma as a low grade malignancy and refer to them as "squamous cell carcinoma with keratoacanthoma-like features".[1]

Presentation

Classically presents as a flesh colored to erythematous elevated nodule with a central keratin plug on the lower eyelid. These lesions grow quickly, up to 2.5 cm over 2-4 weeks, followed by a slower involutional phase taking several months. During involution, a keratin-filled crater may form and if left alone, a permanent, depressed scar remains.

Pathology

Typical pathologic specimens show a lymphocytic infiltrate at the base of the lesion and eosinophilic epithelium. The epidermis is acanthotic and often shows some nuclear atypia, dyskeratosis, squamous eddies and an increased mitotic rate. The proliferating epithelial cells will frequently undermine the adjacent normal epidermis, leading to a sharp transition between normal and thickened epithelium known as shoulder formation

Treatment options

  • Complete surgical excision
  • Cryotherapy
  • Topical or intralesional 5-fluorouracil

Note

Cutaneous horns erupting from keratocanomas indicate a higher likelihood of underlying squamous cell carcinoma.

Keratoacanthoma which arose over a period of weeks
Figure 1: Keratoacanthoma Keratoacanthoma which arose over a period of weeks. Note the classic dome-shaped nodule with elevated, rolled margins and a central keratin-filled crater. (The darkened coloration of the upper lid is a permanent eyeliner tattoo.) (Contributor – Jesse Vislisel, MD)
H&E Keratoacanthoma Histology
Figure 2: Keratoacanthoma Histology (same specimen at different magnifications): 2A, 2B, 2C: Classic cup- shaped invagination of well-differentiated squamous cells forming irregularly configured nests and strands at the base of the lesion.
H&E Keratoacanthoma Histology high mag
Figure 2: Keratoacanthoma Histology (same specimen at different magnifications): 2A, 2B, 2C: Classic cup- shaped invagination of well-differentiated squamous cells forming irregularly configured nests and strands at the base of the lesion.
H&E H&E Keratoacanthoma Histology highest mag
Figure 2: Keratoacanthoma Histology (same specimen at different magnifications): 2A, 2B, 2C: Classic cup- shaped invagination of well-differentiated squamous cells forming irregularly configured nests and strands at the base of the lesion.

Basal Cell Carcinoma (BCC)

Basal cell carcinoma is the most common human malignancy and by far the most common eyelid malignancy, accounting for about 90% of malignant lesions on the eyelid. It most frequently affects fair-skinned, elderly patients with peak incidence at age 70. Risk factors include ultraviolet light exposure, age, chronic inflammation, immunosuppression, and exposure to arsenic and coal tar derivatives. [2].

Presentation

Basal cell carcinoma usually presents as a flesh colored to pearly, raised nodule with rolled edges. Some ulcerate or have telangiectatic vessels on the surface. From most to least common location, BCCs arise on the lower eyelid, medial canthus, upper eyelid, and lateral canthus. Many variants of BCC exist including nodular (>50% of cases), pigmented, superficial, cystic, and morpheaform. While they can invade locally and extensively, BCC grows slowly and has a very low rate of metastasis.

Pathology

BCC arises from the epidermis and invades into the dermis forming basophilic islands of tumor that typically have a palisading "picket fence" border that mimics the hair matrix. Tumor cells are characterized by relatively bland, monomorphous nuclei with high nuclear to cytoplasmic ratio. Single cell necrosis is common within the islands. The islands are often separated from the surrounding dermis by an artifactitious clear space (retraction artifact).

Treatment options

  • MOHS micrographic excision
  • Surgical excision with frozen section margin controls
  • Topical imiquimod or 5-flurouracil
  • Adjunct systemic chemotherapy/targeted therapy (vismodegib or sonidegib)

Note

BCCs of greatest concern are those arising near the medial canthus where they can more easily invade the orbit and sinuses. These are the most difficult to manage and carry a high risk of recurrence.

Xanthelasma
Figure 3: Basal Cell Carcinoma 3A and 3B: BCC demonstrated on the left lower eyelid of a 76 year-old female. Note the nodular, pearly colored papule with rolled edges and telangiectatic vessels.
Xanthelasma
Figure 3: Basal Cell Carcinoma 3A and 3B: BCC demonstrated on the left lower eyelid of a 76 year-old female. Note the nodular, pearly colored papule with rolled edges and telangiectatic vessels.
monomorphic nuclei with high nuclear/cytoplasmic ratio in several cohesive nests lying within the dermis
Figure 4A: BCC tumor cells with relatively bland, monomorphic nuclei with high nuclear/cytoplasmic ratio in several cohesive nests lying within the dermis.
 Palisading of the cells around the outer edge of the tumor
Figure 4B: Palisading of the cells around the outer edge of the tumor and retraction artifact

Actinic Keratosis (AK)

Actinic keratosis is a precancerous dysplastic squamous lesion that results from proliferation of atypical epidermal keratinocytes which have the ability to transform into squamous cell carcinoma. Major risk factors for AK include UV light exposure and fair skin. Although easily managed, the occurrence of AKs should increase clinical suspicion for other skin malignancies. [3]

Presentation

AKs typically present as erythematous, scaly macules or papules. Lesions usually are < 1cm in diameter and rough to the touch. The most frequently affected areas include the face, exposed scalp, and dorsum of forearms and hands. Several clinical variants exist including classic/common, hypertrophic, atrophic, AK with cutaneous horn, and pigmented.

Pathology

The pathology depends on the clinical variant, but classically demonstrates focal surface parakeratosis and loss of the stratum granulosum in the epidermis. There may be acanthosis with club-like extensions of the rete ridges into the dermis. Some degree of epidermal nuclear atypia is present, usually in the deeper layers of the epidermis. The superficial dermis may have a lymphocytic infiltrate at the base of the lesion. The underlying dermis usually has solar elastosis.

Treatment options

  • Cryotherapy
  • Topical imiquimod or 5-flurouracil
  • Surgical excision

Note

The risk of developing frank malignancy from actinic keratosis is grossly estimated from multiple studies. Generally accepted statistics: individuals with AKs have a 10-25% chance of developing SCC; 25% of AKs resolve spontaneously; total risk of transformation for an individual lesion is estimated at 1%. Although the risk of death from AKs is low, they should be promptly treated; prevention of future SCC is more effective than treating after one develops.

Classic AK overlying the middle portion of the left eyelid
Figure 5: Actinic Keratosis 5A: Classic AK overlying the middle portion of the left eyelid
Actinic Keratosis
Figure 5: Actinic Keratosis 5B: AK with cutaneous horn presenting on the right upper eyelid.
Classic AK overlying the middle portion of the left eyelid
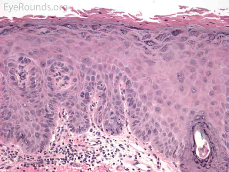
Figure 6: Actinic Keratosis Histology:Classic AK having features of epidermal acanthosis, disorganization of the epidermis (dysplasia), parakeratosis, and inflammation of the underlying dermis.
Actinic Keratosis
Figure 6: Actinic Keratosis Histology:Classic AK having features of epidermal acanthosis, disorganization of the epidermis (dysplasia), parakeratosis, and inflammation of the underlying dermis.

Squamous Cell Carcinoma (SCC)

SCC is the second most common cutaneous malignancy, second only to BCC worldwide. However in dark skinned individuals, SCC is the most common skin cancer. They account for 5-10% of eyelid malignancies and may spread perineurally to invade the orbit or paranasal sinuses. The overall risk of metastasis is less than 5%, but the risk increases to 20-30% when present on lips, ears, or eyelids. Risks include UV exposure, fair skin, childhood sunburns, age, family or personal history, immunosuppression, smoking, arsenic exposure, and genetic predisposition. [4]

Presentation

There is a wide variety of SCC clinical presentations ranging from papules, plaques, or nodules with smooth, hyperkeratotic, or ulcerative secondary characteristics. Most are erythematous to pink nodules with overlying scale or crust with or without ulceration. SCC is most commonly found on the head and neck (55%), but can develop on any cutaneous surface. Squamous cell carcinomas have a predilection for the lower eyelid and lid margin.

Pathology

SCCs can vary from well differentiated to poorly differentiated on the eyelid. Atypical squamous cells form islands and strands extending deep to the epidermal basement membrane, infiltrating the dermis, and inciting a fibrotic dermal reaction. Prominent intercellular bridges (desmosomes) can be seen between cells. Dyskeratosis is often present in the form of horn cysts or keratin pearls. In contrast to BCC, cells are typically eosinophilic and may form whorls known as squamous eddies. SCC in situ is commonly referred to as Bowen disease

Treatment options

  • Surgical excision with frozen section margin controls
    • Possible lymph node biopsy
  • Topical imiquimod, 5-flurouracil, EGFR inhibitors.

Note

Unfortunately, SCC is at times downplayed as melanoma's less dangerous counterpart. However, among African Americans, SCC is the leading cause of mortality by skin malignancy. All suspected SCCs should be investigated further by biopsy.

Squamous Cell Carcinoma
Figure 7a: Squamous Cell Carcinoma
SCC demonstrated on left upper eyebrow of a 63 year-old Caucasian male. Note the ulcerated center with a relatively smooth outer rim of hyperkeratotic tissue. This lesion has a similar appearance to basal cell carcinoma.
Pedunculated squamous cell carcinoma
Figure 7b: Pedunculated squamous cell carcinoma
Squamous Cell Carcinoma Histology
Figure 8: Squamous Cell Carcinoma Histology: 8A: Tumor cells can be seen invading the dermis, producing a fibrotic tissue reaction and keratin pearls. On highest magnification, intracellular bridges (arrows) are seen, strongly suggesting SCC.
Squamous Cell Carcinoma Histology
Figure 8: Squamous Cell Carcinoma Histology: 8B: Tumor cells can be seen invading the dermis, producing a fibrotic tissue reaction and keratin pearls. On highest magnification, intracellular bridges (arrows) are seen, strongly suggesting SCC.
Squamous Cell Carcinoma Histology
Figure 8: Squamous Cell Carcinoma Histology: 8C: Tumor cells can be seen invading the dermis, producing a fibrotic tissue reaction and keratin pearls. On highest magnification, intracellular bridges (arrows) are seen, strongly suggesting SCC.

Melanoma

The incidence of cutaneous melanoma is rising faster than any other cancer in the United States. Although rarely occurring on the eyelids, melanoma can be associated with a high mortality rate. Pigmentation remains a hallmark of this lesion, but half of eyelid melanomas are non-pigmented and may lead to misdiagnosis. Lentigo maligna is a subtype of melanoma in situ that usually occurs on the face or neck of older individuals. It is the most common melanoma subtype that affects the eyelids and has the ability to spread onto the conjunctiva. When atypical melanocytes of lentigo maligna invade the dermis, the lesion is referred to as lentigo maligna melanoma (invasive melanoma). Risk factors include UV exposure, fair skin, childhood sunburns, presence of many dysplastic nevi, and a family or personal history of melanoma. [5]

Presentation

Histologic appearance of cutaneous melanoma depends on the subtype. Lentigo maligna typically presents as an irregularly pigmented, patchy, slowly expanding macule. Nodular thickening of the lesion is suggestive of an invasive component. Superficial spreading melanomas are variably pigmented macules or plaques with irregular borders and multiple color hues ranging from black to blue to brown. Nodular melanomas are usually darkly pigmented pedunculated or polypoid nodules; they can be amelanotic. In contrast to the long horizontal growth phase of lentigo maligna and superficial spreading melanoma, nodular melanomas are more worrisome because of their propensity for rapid vertical growth into dermis.

Pathology

Melanoma can have several different cell types histologically (epithelioid, spindle, and balloon cells) and may be subtle, especially if lacking pigment. They exhibit two forms of atypia: Architectural atypia is described as nests of atypical, pleomorphic melanocytes proliferating in the epidermis and dermis without pattern or symmetry (lentiginous pattern). Cytologic atypia is described as high nuclear to cytoplasmic ratio, prominent nucleoli, and increased mitotic rate. The single most important prognostic factor for cutaneous melanoma is depth of invasion measured in hundredths of a millimeter (Breslow depth).

Treatment options

  • Mohs micrographic surgery, controversial
  • Surgical excision with permanent margin controls, more common
    • (Lymph node biopsy/ dissection may be necessary based off of biopsy result)

Note

The physical diagnostic guidelines of melanoma apply to the periocular tissues as they do to other skin surfaces. They follow the ABCDEs of melanoma – asymmetry, border irregularities, color heterogeneity with black and blue hues, diameter >6mm, and evolution or changing of lesion over time. Both patients and ophthalmologists should follow this mantra when screening for cutaneous melanomas to ensure prompt diagnosis and treatment.

Melanoma demonstrated
Figure 9: Melanoma Melanoma demonstrated on 44 year-old male with a 15 year history of pigmented lesion on eyelid. Note the loss of eyelashes medially on the lower eyelid.
Melanoma Histology
Figure 10: Melanoma Histology Atypical, pleomorphic melanocytes are scattered throughout the epidermis and dermis without discernible patter or symmetry. High N/C ratios and mitotic figures are appreciated here.
Melanoma Histology
Figure 10: Melanoma Histology Atypical, pleomorphic melanocytes are scattered throughout the epidermis and dermis without discernible patter or symmetry. High N/C ratios and mitotic figures are appreciated here.
Melanoma Histology
Figure 10: Melanoma Histology Atypical, pleomorphic melanocytes are scattered throughout the epidermis and dermis without discernible patter or symmetry. High N/C ratios and mitotic figures are appreciated here.

Sebaceous adenocarcinoma

Sebaceous adenocarcinoma is an uncommon, slow-growing but potentially aggressive malignancy often affecting the elderly with a predilection for female patients. It can arise from the meibomian glands, glands of Zeis, or caruncular sebaceous glands. Approximately 80% present on the head or neck with 40% involving the eyelid. Unlike BCC and SCC, sebaceous (adeno)carcinomas occur more commonly on the upper eyelid which has more numerous meibomian glands compared with the lower eyelid. [6 ,7]

Presentation

Sebaceous adenocarcinomas are notorious for masquerading as other conditions, such chalazion or ulcerative blepharoconjunctivitis. It may present as a small, rubbery, firm nodule on the upper eyelid. It may be papillomatous or present as diffuse tarsal thickening with eyelid misdirection. Madarosis (loss of eyelashes) is not uncommon. Caruncular lesions are may be multi-lobulated, grey-yellow subconjunctival masses. When arising from the glands of Zeis, the lesions form small yellow nodules in front of the grey line which can cause eyelid malposition. The yellowish appearance associated with the tumor is due to sebum and one must be suspicious of this.

Pathology

Sebaceous adenocarcinoma consists of pleomorphic, atypical epithelial cells ranging from moderately differentiated to poorly differentiated. They may demonstrate foamy cytoplasm or a vesicular nucleus due to the presence of lipid. Other tumors may demonstrate cells with hyperchromatic nuclei. In order to stain for intracellular lipid, tissue that has not been processed into paraffin is necessary. Frozen sections can then be prepared with Oil red O or Sudan black stains to identify lipid. Also typical of sebaceous adenocarcinoma is pagetoid spread (clusters of tumor cells within the epidermis that have no apparent connection to the main portion of the tumor). Tumors may also spread in an in situ fashion, replacing normal epidermis and without dermal invasion.

Treatment options

  • Wide surgical excision with permanent margin controls, map biopsies
  • Adjunctive topical mitomycin C for non-invasive conjunctival involvement
  • Radiation for larger tumors as an adjunct to surgery

Note

Muir Torre syndrome (a subset of Lynch syndrome) is a rare autosomal dominant condition that predisposes to keratoacanthoma, basal cell carcinoma, sebaceous gland carcinoma and internal malignancies such as colon and genitourinary malignancies [8]

Sebaceous Carcinoma
Figure 11: Sebaceous Carcinoma Sebaceous carcinoma demonstrated on right upper eyelid of a 67 year-old male with history of chronic blepharitis. Not the ulceration and thickening of lid margin with loss of lashes.
 Sebaceous Gland Carcinoma
Figure 12: Sebaceous Gland Carcinoma HistologyTumor cells with foamy cytoplasm and mitotic figures (red arrow) are shown.
 Sebaceous Gland Carcinoma
Figure 12: Sebaceous Gland Carcinoma HistologyTumor cells with foamy cytoplasm and mitotic figures (red arrow) are shown.
 Sebaceous Gland Carcinoma
Figure 12: Sebaceous Gland Carcinoma HistologyTumor cells with foamy cytoplasm and mitotic figures (red arrow) are shown.

Merkel Cell Carcinoma (MCC)

MCC is a rare but aggressive malignancy that typically affects older individuals with significant UV light exposure. Early histological studies suggest that MCC arises from Merkel cells, mechanoreceptor cells responsible for tactile sensation, located in the basal epidermis. Alternatively, it is also hypothesized that these tumors originate from immature totipotent stem cells of the skin. Risk factors for MCC include UV exposure, fair skin, age, immunosuppression, and infection with Merkel cell polyomavirus. [9]

Presentation

The typical presentation of MCC is a pink to blue-red, rapidly growing, painless, firm, shiny nodule with intact overlying skin. It is most frequently located on the upper eyelid, head, or neck and is often misdiagnosed as a cyst, lipoma, or other benign lesion. Because of their subtle yet aggressive nature, up to 30% of patients have regional lymph node involvement at presentation. [10 ,11]

Pathology

This neuroendocrine carcinoma is composed of deeply basophilic uniform cells with a high nucleus to cytoplasmic ratio, finely dispersed nuclear chromatin, and an inconspicuous nucleolus. Cells are crowded and often mold together. Single-cell necrosis, numerous mitotic figures, and lymphovascular, perineural, or epidermal invasion may also be seen. Merkel cells have features of both epithelial and neuroendocrine cells and express many markers that can be analyzed with immunohistochemistry such as synaptophysin, chromogranin and neurofilament.

Treatment options

  • Wide surgical excision/Mohs micrgraphic surgery +/- lymph node biopsy
  • Systemic chemotherapy may be necessary with lymph node involvement

Note

The risk of MCC is higher in patients with other malignancies and those who are immunosuppressed. The diagnosis of MCC alone should raise suspicion for the presence of underlying multiple myeloma, chronic lymphocytic leukemia, or malignant melanoma. Local recurrence and lymph node metastases are common; the 5 year survival is poor at 38%. [12]

Sebaceous Carcinoma
Figure 13: Merkel Cell CarcinomaMerkel cell carcinoma demonstrated in 86 year-old female. This lesion was mostly painless but grew quickly after being incised by another physician. Note the dome shape and intense red color. Photo credit: Richard C. Allen, MD, PhD
Merkel Cell Carcinoma Histology
Figure 14: Merkel Cell Carcinoma Histology. Densely blue cells forming sheets, ribbons, and nests located in the dermis. Note the mitotic figures in the highest magnified image.
Merkel Cell Carcinoma Histology
Figure 14: Merkel Cell Carcinoma Histology. Densely blue cells forming sheets, ribbons, and nests located in the dermis. Note the mitotic figures in the highest magnified image.
Merkel Cell Carcinoma Histology
Figure 14: Merkel Cell Carcinoma Histology. Densely blue cells forming sheets, ribbons, and nests located in the dermis. Note the mitotic figures in the highest magnified image.

References

  1. Kwiek B, Schwartz RA. Keratoacanthoma (KA): An update and review. J Am Acad Dermatol 2016;74(6):1220-1233.  https://www.ncbi.nlm.nih.gov/pubmed/26853179
  2. Wu PA. Pathogenesis, clinical features, and diagnosis of basal cell carcinoma [Topic 5335 Version 27.0]. In: Stern RS, Robinson JK, editors. UpToDate [online resource]: Wolters Kluwer; 2017.
  3. Padilla RS. Epidemiology, natural history, and diagnosis of actinic keratosis [Topic 13712 Version 10.0]. In: Robinson JK, editor. UpToDate [online resource]: Wolters Kluwer; 2015.
  4. Lin JL, Asgari M. Clinical features and diagnosis of cutaneous squamous cell carcinoma (SCC) [Topic 16225 Version 14.0]. In: Stern RS, Robinson JK, editors. UpToDate [online resource]: Wolters Kluwer; 2017.
  5. Fitzpatrick TB. Color atlas and synopsis of clinical dermatology : common and serious diseases. New York: McGraw-Hill, 1994.
  6. Shields JA, Saktanasate J, Lally SE, Carrasco JR, Shields CL. Sebaceous Carcinoma of the Ocular Region: The 2014 Professor Winifred Mao Lecture. Asia Pac J Ophthalmol (Phila) 2015;4(4):221-227.  https://www.ncbi.nlm.nih.gov/pubmed/26147013
  7. Prieto-Granada C, Rodriguez-Waitkus P. Sebaceous Carcinoma of the Eyelid. Cancer Control 2016;23(2):126-132.  https://www.ncbi.nlm.nih.gov/pubmed/27218789
  8. Dores GM, Curtis RE, Toro JR, Devesa SS, Fraumeni JF, Jr. Incidence of cutaneous sebaceous carcinoma and risk of associated neoplasms: insight into Muir-Torre syndrome. Cancer 2008;113(12):3372-3381.  https://www.ncbi.nlm.nih.gov/pubmed/18932259
  9. Albores-Saavedra J, Batich K, Chable-Montero F, Sagy N, Schwartz AM, Henson DE. Merkel cell carcinoma demographics, morphology, and survival based on 3870 cases: a population based study. J Cutan Pathol 2010;37(1):20-27.  https://www.ncbi.nlm.nih.gov/pubmed/19638070
  10. Heath M, Jaimes N, Lemos B, Mostaghimi A, Wang LC, Penas PF, Nghiem P. Clinical characteristics of Merkel cell carcinoma at diagnosis in 195 patients: the AEIOU features. J Am Acad Dermatol 2008;58(3):375-381.  https://www.ncbi.nlm.nih.gov/pubmed/18280333
  11. Tai P. Pathogenesis, clinical features, and diagnosis of Merkel cell (neuroendocrine) carcinoma [Topic 7623 Version 23.0]. In: Stern RS, Robinson JK, editors. UpToDate [online resource]: Wolters Kluwer; 2016.
  12. Zhan FQ, Packianathan VS, Zeitouni NC. Merkel cell carcinoma: a review of current advances. J Natl Compr Canc Netw 2009;7(3):333-339.  https://www.ncbi.nlm.nih.gov/pubmed/19401065

 Additional Reading

Kanski JJ, Nischal KK, Bowling B. Clinical ophthalmology : a systematic approach. 7th ed. St. Louis: Elsevier/Saunders, 2011.

Suggested Citation Format

Lenci LT, Sciegienka S, Kirkpatrick CA, Clark TJ, Syed NA, Shriver EM. Malignant Lesions of the External Periocular Tissues Tutorial. EyeRounds.org. posted May 10, 2017; Available from: https://eyerounds.org/tutorials/malignant-lesions-of-ext-periocular-tissues/index.htm