This site uses tracking information. Visit our privacy policy. Click to agree to this policy and not see this again.

Ophthalmology and Visual Sciences

Chronic Progressive External Ophthalmoplegia (CPEO) - Kearns-Sayre Syndrome:

12-year-old boy with painless, progressive ptosis OU over 3 years

Chronic Progressive External Ophthalmoplegia (CPEO) - Kearns-Sayre Syndrome:

12-year-old boy with painless, progressive ptosis OU over 3 years
Sudeep Pramanik, MBA, MD, Jeffrey Nerad, MD
March 26, 2005, updated April 9, 2007

Chief Complaint: 12-year-old boy with gradual progressive ptosis OU.

History of Present Illness: His parents noted painless, progressive, constant ptosis over the last 3 years. The patient denied symptoms of diplopia, weakness, or speech/swallow troubles. He was healthy as a young child.

PMH/FH/POH: NSVD. Healthy. No POH. FH negative for history of ptosis/diplopia. No neurologic disease. Two sisters age 6 who are healthy.

EXAM

  • Best corrected visual acuities: 20/25 OD and OS.
  • Pupils, IOP, CVF, and SLE were normal.
  • EOM: - 2 deficit in all directions of gaze OU.
  • Ptosis OU (see Figure 2).
  • Fundus: Mild Salt-n-Pepper appearance of the peripheral retina (see Figure 3).
Figure 1: Lid Measurements
  OD OS
Palpebral fissure (PF) 5 mm 3 mm
Margin reflex distance 1 (MRD1) 0 mm -2 mm
Margin reflex distance 2 (MRD2) 5 mm 3 mm
Levator function (LF) 8 mm 8 mm
Upper lid crease none none

Figure 2: School photos denoting progressive ptosis OU and lost of upper lid crease.

ptosis


Figure 3: Fundus Photos.
OD OS

There is a faint speckled pigmentary retinopathy evident in the periphery—a light "salt and pepper change".  Dr. Weingeist says this retinopathy is not as dramatic as the bone spicules seen in retinitis pigmentosa.

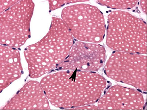
Figure 4: Muscle Pathology. Histopathology from our patient demonstrates "ragged red fibers," a marker for dysfunction of mitochondrial DNA. Ragged red fibers denote the absence of cytochrome oxidase staining in a proportion of muscle fibers in the biopsy. The affected muscle tissue appears as blue muscle fibers with H&E stain (arrowhead). The name is derived from bright red irregular (moth eaten) subsarcolemmal depositions with Gomori trichrome on frozen sections (not shown).

Discussion

Chronic Progressive External Ophthalmoplegia (CPEO) - Kearns Sayre Syndrome

Dr. Nerad emphasizes that there are two primary forms of ptosis: congenital ptosis and involutional ptosis. Congenital ptosis is manifested at birth and is associated with poor levator function and absent upper lid crease. Involutional ptosis is associated with good levator function and high upper lid crease and occurs in the elderly due to dysfunction or dehiscence (which is hardly never seen at the time of surgery) of the levator muscle. If the patient does not fit one of these two most common causes of ptosis, then the clinician needs to consider one of the less common causes of ptosis.

Clinicians who are "lumpers" would categorize this patient as having Chronic Progressive External Ophthalmoplegia (CPEO) with varying risk of developing other organ system involvement. Those who are "splitters" would say that he has Kearns-Sayre syndrome, a subset of CPEO that places him at high risk for sudden cardiac death. In either case, cardiac and endocrine workups are required. Because this is a mitochondrial disease, any organ system may be affected.It is important to remember that these patients can die from: 1) sudden cardiac death due to 1 st degree A-V block; and 2) hyperglycemic acidosis after corticosteroid administration. This becomes particularly important in light of the fact that myasthenia gravis is on the differential diagnosis list.

The use of Tensilon (edrophonium) is worrisome in these patients as it may precipitate heart block and arrhythmias.It is also worrisome that these patients may suffer sudden cardiac death, even if cardiac evaluation results are normal. For this reason, some electrophysiologists recommend prophylactic pacemaker placement for these patients.The diagnosis is aided by histopathology of skeletal muscle fibers (usually obtained from the thigh) that show ragged red fibers. These fibers represent abnormal mitochondrial respiratory chain function. They are found in all mitochondrial myopathies.

These disorders (e.g., CPEO, MERRF, etc...), although clinically different, are quite similar on a molecular level and considered by some to be the same disease with variable phenotypic expression based on the organ systems most heavily involved.Because the defect resides within mitochondrial DNA, affected males should not pass on this disease. Affected females may pass on this disease if the fertilized egg contains a sufficient percentage of abnormal mitochondrial DNA (heteroplasmy).

Diagnosis: Chronic Progressive External Ophthalmoplegia (CPEO) - Kearns Sayre Syndrome

EPIDEMIOLOGY

  • Rare cause of chronic ptosis + ophthalmoplegia
  • Usually present in 2nd decade of life

SIGNS

  • Ptosis with poor levator function
  • Loss of Bell’s reflex (eyes roll upwards when lids are closed)
  • Symmetric ophthalmoplegia
  • Kearns-Sayre may include: pigmentary retinopathy, cerebellar ataxia, deafness, and endocrine disorders (e.g., diabetes or gonadal dysfunction)

SYMPTOMS

  • CPEO
    • Reduced superior visual field
    • Exposure keratopathy from poor blink
    • NO DIPLOPIA
  • Kearns-Sayre
    • Possible ataxia, deafness, endocrine problems and sudden cardiac death

TREATMENT

  • Cardiac workup (Kearns-Sayre)
  • EMG + muscle biopsy (Ragged Red Fibers)
  • Ptosis repair:
    • Dynarod sling (Bernardini et al., 2002)
      • Adjustable
    • Irradiated fascia lata sling
      • 20% ptosis recurrence rate over 7 years among 132 lids with myogenic ptosis; only 1 with significant postop exposure (Esmaeli et al., 1998)

Differential Diagnoses for Ptosis

  • Congenital ptosis
  • Involutional ptosis
  • Mechanical ptosis
  • Horner's syndrome
  • CN 3 Palsy
  • CPEO
    • Kearns-Sayre (most severe; manifested in childhood)
  • Oculopharyngeal dystrophy (autosomal dominant)
  • Congenital myasthenia gravis
  • Juvenile myasthenia gravis
  • Myotonic dystrophy (autosomal dominant)
References
  1. Berenberg et al., Lumping or splitting? "Ophthalmoplegia-plus" or Kearns-Sayre syndrome? Ann Neurol. 1977 Jan;1(1):37-54.
  2. Bernardini FP, de Conciliis C, Devoto MH. Frontalis suspension sling using a silicone rod in patients affected by myogenic blepharoptosis. Orbit. 2002 Sep;21(3):195-8.
  3. Brodsky MC, et al. Pediatric Neuro-Ophthalmology. New York: Springer, 1996.
  4. Esmaeli B, Chung H, Pashby RC. Long-term results of frontalis suspension using irradiated, banked fascia lata. Ophthal Plast Reconstr Surg. 1998 May;14(3):159-63.
  5. Nerad, JA. Oculoplastic Surgery. The Requisites in Ophthalmology. St. Louis: Mosby, 2001.
Suggested citation format:

Pramanik S, Nerad JA. Chronic Progressive External Ophthalmoplegia (CPEO) - Kearns-Sayre Syndrome: 12-year-old boy with painless, progressive ptosis OU over 3 years. EyeRounds.org. March 26, 2005; Available from: http://www.EyeRounds.org/cases/case24.htm.


last updated: 04-09-2007

Image Permissions:
Creative Commons

Ophthalmic Atlas Images by EyeRounds.org, The University of Iowa are licensed under a Creative Commons Attribution-NonCommercial-NoDerivs 3.0 Unported License.