This site uses tracking information. Visit our privacy policy. Click to agree to this policy and not see this again.

Ophthalmology and Visual Sciences

Pseudoabducens palsy:

When a VI nerve palsy is not a VI nerve palsy

Pseudoabducens palsy:

When a VI nerve palsy is not a VI nerve palsy
Emily S. Birkholz, MD, and Michael Wall, MD
December 30, 2009

Chief Complaint: 44-year-old male with diplopia

History of Present Illness: This 44-year-old male with a history of hypertension awoke with the worst headache of his life. He was admitted to the University of Iowa Hospitals and Clinics for decreasing level of consciousness. When his condition was stabilized, neuro-ophthalmology was consulted to evaluate a bilateral abduction deficit.

Ocular History: Patient was unable to provide

Medical History: Hypertension, Hepatitis C, reflux

Medications: atenolol, ranitidine.

Family and Social History: History of drug and alcohol abuse

EXAM:

  • Neurologic exam: Periodic waxing and waning level of consciousness. Regular periods of about 30 seconds of alertness and cooperation followed by periods of no responsiveness to voice or touch, responding only to painful stimuli. These periods were associated with a very slow respiratory rate decreasing to periods of brief apnea.
  • Visual Acuity: at near without correction at the bedside OD—20/100; OS—20/125
  • Pupils: 4 mm in the dark, 2 mm in the light with no afferent pupillary defect. Constricted to accommodation.
  • Motility: bilateral abduction deficits of -4, elevation deficit of -3, depression deficit of -3. Doll's head maneuver was not able to overcome the deficit. (See Figure 1 and Video 1)
  • External and anterior segment examination:
    • Within normal limits OU
  • Dilated fundus exam (DFE):
    • OD—Normal with no disc edema or hemorrhages
    • OS—pre-retinal and flame shaped hemorrhages superotemporally and nasally to the disc consistent with Terson's syndrome.
Figure 1. Motility: Note bilateral abduction deficits in right and left gaze. Also note the inability to elevate the eyes and depress the eyes
  Up Gaze  
Right gaze Primary Gaze Left gaze
  Downgaze  

If video fails to load, use this link: https://vimeo.com/134675900

Motility video – note vertical gaze palsy in up and down gaze in addition to abduction deficit in left and right gaze.

Where is the patient's lesion based on the following clinical findings?

  • Vertical gaze palsy
  • Bilateral abduction deficits
  • Cheyne Stokes breathing pattern

Neuroanatomical Review: The combination of esotropia (bilateral abduction deficits), vertical gaze palsy, alternating levels of consciousness and Cheyne Stokes breathing pattern led us to localize the lesion to the mesodiencephalic junction.

Vertical Gaze Palsy

The rostral interstitial nucleus of the medial longitudinal fasciculus (riMLF) is an important center for vertical saccades. This nucleus is located at the mesodiencephalic junction (junction of thalamus and midbrain). This area of the rostral midbrain is supplied by the posterior-thalamo-subthalamic branch of the basilar communicating artery which is a branch off the basilar tip (1). This artery, being at the end of the basilar artery, is a known location for emboli.

Abducens palsy vs. other types of abduction deficits

When evaluating patients with abduction deficits one must think about the pathway involved. Lesions anywhere along the pathway from the extra ocular muscles to the supranuclear areas that control horizontal saccades may be implicated in the etiology for the motility deficit.

  1. Muscular (tethered medial rectus as seen in Graves disease or damage to the lateral rectus)
  2. Neuromuscular junction (abduction deficits are not common in myasthenia gravis)
  3. Abducens nerve (anywhere along its course from the dorsal pons to the orbit)
  4. Supranuclear causes (convergence spasm or increased convergence tone, divergence insufficiency)

Bilateral abduction deficits in the setting of trauma or subarachnoid hemorrhage often indicate increased intracranial pressure causing a bilateral cranial nerve VI palsy. This sudden rise in intracranial pressure can lead to downward displacement of the brainstem which can compress cranial nerve VI in the pre-pontine cistern as it makes a 90° bend and exits the pontomedullary junction to ascend along the clivus towards the cavernous sinus. Other causes for acquired bilateral abduction deficits in the setting of trauma, subarachnoid hemorrhage, or stroke, include damage to the convergence pathway, thalamic esodeviation, or breakdown of a pre-existing phoria due to loss of conscious control.

Caplan, in 1980 defined the phrase, pseudoabducens palsy as "a failure of ocular abduction which is not due to dysfunction of the sixth nerve", and postulated that increased convergence activity was the cause (2). The neurologic pathways for convergence are not discrete nerve tracts. Instead, a network of fibers descend from the temporal-parietal-occipital junction where the pathway is thought to originate, through the medial thalamus, to the level of the rostral midbrain where they synapse with the medial rectus subnuclei of the cranial nerve III nucleus. Damage to these fibers is thought to lead to decreased inhibition and therefore increased neuronal activity, causing increased convergence and an esodeviation (3). Previous reports in the literature have identified thalamic infarcts to have a characteristic inward and downward deviation of the eyes where the eyes appear to be "peering at the tip of the nose (4,5,6). This finding may be caused by damage to these descending convergence fibers at the level of the thalamus. Please see the following video as a demonstration of thalamic esotropia in the setting of bilateral internuclear ophthalmoplegia (INO).

COURSE

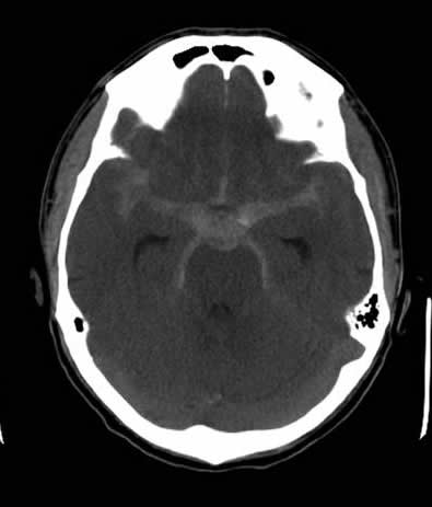
For evaluation of the worst headache of his life, a CT of the brain without contrast was obtained which revealed a subarachnoid hemorrhage (See Figure 2A). CT angiography revealed a basilar artery aneurysm which was successfully coiled (See Figure 2B).

13 days after the hospital admission and coiling of the aneurysm, neuro-ophthalmology was consulted for evaluation of bilateral abduction deficits.

Figure 2
CT scan of the brain showing diffuse subarachnoid hemorrhage CTA showing basilar artery aneurysm with coil in place
Figure 2A. CT scan of the brain showing diffuse subarachnoid hemorrhage Figure 2B. CTA showing basilar artery aneurysm with coil in place

The findings in our patient of vertical gaze palsy in both up and down gaze, bilateral abduction deficits (likely pseudoabducens palsy) localized to a lesion in the mesodiencephalic junction in the territory supplied by the posterior thalamo-subthalamic paramedian artery, a branch off the tip of the basilar artery. MRI confirmed a subacute infarction in this region (See Figure 3A, 3B, 3C, 3D). The infarction may have been caused by compression or disruption by coiling of the posterior thalamo-subthalamic branch of the paramedian artery.

Figure 3
Figure 3A. MRI with DWI (diffusion weighted imaging) showing hyperintense signal in rostral midbrain. Figure 3B. MRI with ADC (apparent diffusion coefficient) showing corresponding area of hypointensity. This signifies infarction.
Figure 3A. MRI with DWI (diffusion weighted imaging) showing hyperintense signal in rostral midbrain. Figure 3B. MRI with ADC (apparent diffusion coefficient) showing corresponding area of hypointensity. This signifies infarction.
Figure 3C. MRI Flair image showing hyperintensity in the Rostral midbrain Figure 3D. MRI Flair image showing hyperintensity in the right thalamus. Also note hyperintense signal from subarachnoid hemorrhage
Figure 3C. MRI Flair image showing hyperintensity in the Rostral midbrain Figure 3D. MRI Flair image showing hyperintensity in the right thalamus. Also note hyperintense signal from subarachnoid hemorrhage

Diagnosis: Infarction of the rostral midbrain and thalamus causing pseudoabducens palsy and vertical gaze palsy.

Differential Diagnoses for Bilateral Abduction Deficits

  • Cranial nerve VI palsy (congenital or acquired)
  • Thalamic infarct
  • Convergence excess/Spasm of the near reflex
  • Graves disease with tethered medial rectus muscle
  • Bilateral Duane's syndrome
  • Infantile esotropia with cross-fixation
  • Möbius Syndrome
References
  1. Wall M, Slamovits TL, Weisberg LA, Trufant SA. Vertical gaze ophthalmoplegia from infarction in the area of the posterior thalamo-subthalamic paramedian artery. Stroke. 1986;17(3):546-555.
  2. Caplan LR. "Top of the basilar" syndrome. Neurology 1980;30:72–79.
  3. Pullicino P, Lincoff N, Truax BT. Abnormal vergence with upper brainstem infarcts. Neurology. 2000;55:352-358.
  4. Fisher CM. The pathologic and clinical aspects of thalamic hemorrhage. Trans Am Neurol Assoc. 1959;84:56-59.
  5. Choi KD. Jung DS, Kim JS. Specificity of "peering at the tip of the nose" for a diagnosis of thalamic hemorrhage. Arch Neurol. 2004;61:417-422.
  6. Gomez CR, Gomez SM, Selhorst JB. Acute thalamic esotropia. Neurology. 1988;38:1759-1762.
Suggested citation format:

Birkholz ES, Wall M: Pseudoabducens palsy: When a VI nerve palsy is not a VI nerve palsy. Eyerounds.org. Posted December 22, 2009; Available from: http://www.EyeRounds.org/cases/93-PseudoAbducensPalsy.htm


last updated: 06-16-2016

Image Permissions:
Creative Commons

Ophthalmic Atlas Images by EyeRounds.org, The University of Iowa are licensed under a Creative Commons Attribution-NonCommercial-NoDerivs 3.0 Unported License.