This site uses tracking information. Visit our privacy policy. Click to agree to this policy and not see this again.

Ophthalmology and Visual Sciences

Superior Orbital Fissure Syndrome

Superior Orbital Fissure Syndrome

Zachary Heinzman, BA; Bilal Ahmed, MD; Edward Linton, MD
January 26, 2024

INITIAL PRESENTATION

Chief Complaint “Right droopy eyelid”

History of Present Illness

A 74-year-old male with history of metastatic prostate cancer presented with 5 days of progressive difficulty opening his right eye. The patient was noted to have ptosis of the right upper lid by his radiation oncologist while at an appointment for palliative radiation to metastatic prostate cancer in his right hip. A computed tomography (CT) of the head demonstrated possible metastatic disease in the right superior orbital fissure. Over the following days, the patient became unable to move his right eye or open his right eyelid. His vision remained intact when the eyelid was manually lifted. Neuro-ophthalmology was consulted for further evaluation upon admission.

Past Ocular History

  • Dry eye disease

Past Medical History

  • Stage IV prostate cancer with metastasis to mediastinal and hilar lymph nodes, lungs, liver, and multiple sites of boney involvement
  • Stage 2 chronic kidney disease
  • Anemia of chronic disease
  • Bilateral hearing loss with stapedectomy of the right ear
  • Hypertension
  • Hyperlipidemia

Medications

  • Prednisone
  • Denosumab
  • Ondansetron
  • Amlodipine and Lisinopril
  • Atorvastatin
  • Vitamin C, calcium carbonate, vitamin D3, pyridoxine, and a multi-vitamin

Allergies

  • No known allergies

Family History

  • Non-contributory

Social History

  • Non-contributory

Review of Systems

  • Negative except for what is detailed in the history of present illness


OCULAR EXAMINATION

  • Visual Acuity without correction (Near card):
    • Right eye (OD): 20/40
    • Left eye (OS): 20/50
  • Ocular Motility/Alignment:
    • OD: -4 in all gaze directions
    • OS: Full
  • Intraocular Pressure (IOP): (Tonopen):
    • OD: 20 mmHg
    • OS: 16 mmHg
  • Pupils:
    • OD: 6 mm in dark, 6 mm in light, no relative afferent pupillary defect (RAPD)
    • OS: 6 mm in dark, 2 mm in light, no RAPD
  • Confrontation visual fields (finger counting):
    • OD: Full
    • OS: Full
  • External:
    • Complete ptosis of the right upper lid
  • Slit lamp examination:
    OD OS
    Lids/lashes Complete paralytic ptosis of right upper lid Normal
    Conjunctiva/sclera Temporal chemosis Clear and quite
    Cornea Clear Clear
    Anterior Chamber Deep and quiet Deep and quiet
    Iris Normal architecture Normal architecture
    Lens 2+ nuclear sclerosis 2+ nuclear sclerosis
  • Dilated fundus examination (DFE):
    • Normal in each eye
  • Neurologic Exam:
    • Right pupil-involving CN III, CN IV and CN VI palsies
    • CNs II, V, VII, VII, IX, X, XI, XII intact bilaterally
    • No other focal neurologic deficits
  • Additional Testing:
    • Acetylcholine receptor binding antibody: negative
    • Calcium channel antibody: negative
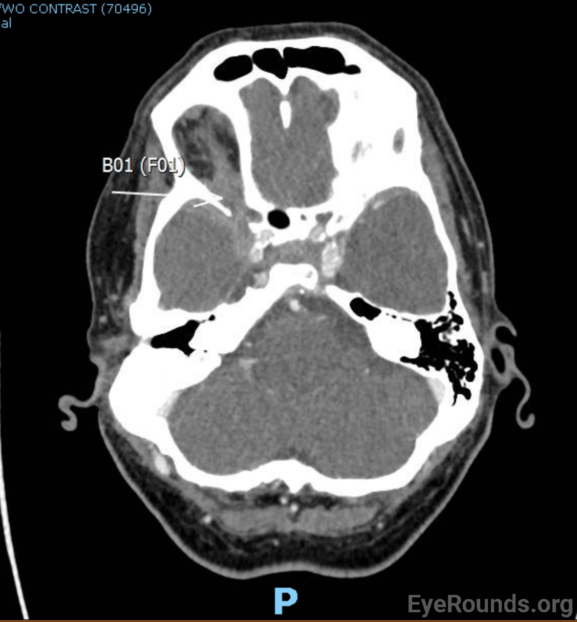
    • CT Angiography Head with and without contrast (Figure 1 [A]): skull base metastatic disease with suspicion for tumor infiltration into the right superior orbital fissure
    • Magnetic resonance imaging (MRI) Head with and without contrast (Figure 1 [B]): diffuse metastatic disease with extension into the right superior orbital fissure and concern for partial right cavernous sinus thrombosis
    • Magnetic resonance venography (MRV) Head with and without contrast: right cavernous sinus thrombosis
Figure 1: CT [A] and MRI [B] demonstrating lesions near the right superior orbital fissure. MRI also revealed leptomeningeal spread of disease and suspicion for right cavernous sinus thrombosis (not shown). Follow-up MRV (not shown) confirmed right cavernous sinus thrombosis.

CLINICAL COURSE

CT scan on admission (Figure 1[A]) showed concern for a possible metastatic lesion involving the right superior orbital fissure. Due to concerns of a prior ear prosthesis placed following a stapedectomy over three decades ago with unknown MRI compatibility, MRI was delayed, and the patient was started on empiric dexamethasone of 4 mg twice daily. MRI was eventually performed which revealed a metastatic lesion involving the superior orbital fissure, thus confirming the diagnosis of superior orbital fissure syndrome on the right. There were also concerns for right cavernous sinus thrombosis, which was subsequently confirmed on MRV. The patient was not a surgical candidate and was treated with radiation therapy to the superior orbital fissure lesion. He was started on Apixaban 5 mg twice daily for treatment of the cavernous sinus thrombosis. The patient was noted to be hyponatremic during hospitalization and workup was consistent with syndrome of inappropriate antidiuretic hormone section (SIADH) which was responsive to fluid restriction. Dexamethasone was decreased to 2 mg twice daily at time of discharge, and he was noted to have minimal improvement in his ophthalmoplegia and ptosis 1 month after discharge.


DIAGNOSIS: Superior orbital fissure syndrome of the right eye secondary to metastatic prostate cancer


DIFFERENTIAL DIAGNOSIS:


DISCUSSION

Etiology/Epidemiology

Superior orbital fissure syndrome (SOFS), also known as Rochon-Duvigneaud Syndrome, is a type of orbital apex disorder. SOFS is a rare syndrome whose manifestations are based on compression of structures within the superior orbital fissure. As such, most of the information known about SOFS comes from sporadic case reports. While trauma is the most common underlying cause for SOFS, the entity as a whole is uncommon. A large retrospective study by Chen et al. revealed that 0.3% of patients with skull or facial fractures secondary to trauma develop this condition (1). Other studies have demonstrated similar incidences of approximately 0.8% following traumatic facial injury (2).

While trauma is the leading reported cause of SOFS, any condition that compromises the structures within the superior orbital fissure can precipitate it. Neoplasms, such as metastatic lesions, can cause a compressive mass effect within the superior orbital fissure (3). In women, breast cancer is the most common cause of metastatic orbital involvement which can precipitate SOFS (4). Infections such as meningitis, syphilis, and herpes zoster can also lead to inflammation and compression of key structures within the fissure (5-8). Vascular processes, such as aneurysms and pseudoaneurysms, have also been identified causes (9). Due to the often unpredictable nature of these aforementioned etiologies, the only reliable risk factor for the development of SOFS is an anatomically narrow superior orbital fissure (10). If the optic nerve is involved in patients with suspected superior orbital fissure syndrome, the diagnosis changes and becomes known as orbital apex syndrome (11).

Anatomy

superior orbital fissure anatomy model
Figure 2: Structures within the superior orbital fissure.

The superior orbital fissure lies between the greater and lesser wings of the sphenoid bone. Multiple structures run through this area, and they can be categorized into three distinct regions based on their location relative to the common tendinous ring (also known as the annulus of Zinn) (Figure 2). The superolateral region outside the annulus of Zinn contains the trochlear, frontal, and lacrimal nerves (a branch of CN V1) along with the superior ophthalmic vein (12). The central region within the annulus of Zinn transmits the superior and inferior divisions of the oculomotor nerve, the nasociliary nerve (another branch of CN V1), and the abducens nerve (12). Inferiorly, outside the annulus of Zinn, one finds the inferior ophthalmic vein (12). Disruption of these structures, whether through shear injury, compression, inflammation, infection, infiltration, or ischemia, results in the signs and symptoms of SOFS. Medial to the superior orbital fissure and within the annulus of Zinn lies the optic canal. Within the optic canal, both the optic nerve and the ophthalmic artery traverse into the orbit (11).

Signs/Symptoms

The clinical presentation for patients with SOFS can be directly correlated to the structures that are compromised. Patients may demonstrate upper lid ptosis if the superior division of CN III is impacted, causing partial to complete paralysis of the levator palpebrae superioris muscle. Partial or complete ophthalmoplegia is also a common finding and can develop with damage to CN III, IV, and/or VI. Similarly, proptosis may occur due to decreased extraocular muscle tone or mass effect. Anhidrosis can develop if sympathetic innervation to the eye is damaged as it runs along CN V1. Anesthesia of the superior eyelid and lower forehead with loss of the corneal reflex leading to a neurotrophic cornea may also occur through the same process. Finally, the pupil may appear dilated without the ability to constrict to light due to loss of parasympathetic input to the eye. (10)

Work-up

When clinical suspicion of SOFS is high, imaging can be used to confirm possible lesion localization and aid in diagnosis. The imaging modality of choice is based on the likely underlying cause of SOFS and hospital availability, with CT being more readily available than MRI. In cases of trauma, CT is the imaging test of choice (13). The most common findings on CT for trauma patients include fractures to the zygomatic and orbital bones (1). CT is also beneficial for measuring the size of the superior orbital fissure. For other causes of SOFS, such as neoplastic, infectious, and inflammatory, MRI with and without contrast with fat suppressed images of the orbits is the modality of choice due to its superior visualization of soft tissue and nerve structures (13). For cases where MRI is used, imaging findings will vary based on the underlying etiology. Neoplastic lesions may reveal underlying metastasis or meningiomas, and infectious processes may show orbital cellulitis or subperiosteal abscesses (13). In cases of suspected vascular abnormalities, both MR angiography and CT angiography are appropriate and would likely identify the underlying process (13). If an infectious cause is suspected, laboratory evaluation with complete blood counts with differentials, basic metabolic panels, and blood cultures are standard. More targeted evaluation, such as a lumbar puncture for meningitis, will depend on the clinical presentation of the patient and the suspected infection. The superior orbital fissure is challenging to access surgically, so biopsy of adjacent tissues in the sinus, orbit, retromaxillary space, inferior orbital nerve, or remote areas such as primary or other metastatic tumors or lymph nodes are options.

Treatment/Management/Guidelines

Trauma is the most well-studied cause of superior orbital fissure syndrome. One study in 2010 reviewed 29 cases and found that patients treated with steroids recovered in 70% of cases compared to 42.1% in those treated with conservative measures alone (10). In both instances, the majority of patients also received surgery (84.7%), most commonly decompression through fracture fixation or hematoma evacuation, without significant aggravation of neurological symptoms post-repair (10). Due to this, the proposed treatment of traumatic SOFS is combination megadose steroids (e.g., 30 mg/kg methylprednisolone followed by 5.4 mg/kg per hour for 48 hours) and surgical intervention (10). More recent literature also supports this approach (14,15).

While steroids have been linked to improved outcomes in patients presenting with traumatic SOFS, this must be balanced against the risks of steroids in patients with traumatic brain injury (TBI). The CRASH study showed that the use of megadose steroids in patients presenting with TBI and Glasgow coma scale (GCS) >15 is associated with an increased risk of death and disability (16). While early studies have shown a benefit with steroids in traumatic SOFS, due to the concern for an increase in mortality, the use of steroids in patients with severe trauma is controversial and typically not employed.

Treatments for other types of SOFS are less well-studied. Depending on the cause, neoplastic cases may be treated with chemotherapy, radiation, or debulking surgery (4,17,18). Steroid therapy may also benefit these patients if significant edema is visualized on imaging surrounding these lesions. In cases of infection, treatment with appropriate antibacterial, antivirals, or antifungals, occasionally coupled with steroids, is typically used along with adjacent sinus debridement and washout (5,19,20). Vascular causes, such as pseudoaneurysms, are usually managed through an endovascular approach (21). In summary, the treatment of SOFS is targeted at the underlying cause (surgery, antimicrobials, radiation/chemotherapy) and is commonly combined with high-dose steroids to decrease any coexisting inflammation. Due to the rarity of these etiologies, there is limited data on the return of neurologic function. Patient follow-up is highly variable and depends on the underlying cause and treatment undertaken.

EPIDEMIOLOGY OR ETIOLOGY

  • Rare, trauma is the most common cause
  • Occurs because of disruption to CN III, CN IV, CN V1, CN VI, and/or sympathetic and parasympathetic nerves running through the superior orbital fissure
  • Underlying causes may be traumatic, neoplastic, infectious, or vascular in origin

WORK-UP

  • Imaging is most likely to confirm the diagnosis
  • For traumatic cases, CT is preferred
  • In most other cases, MRI is superior
  • MRA or CTA can be used for vascular workup
  • Biopsy is sometimes required, though access is challenging

SIGNS AND SYMPTOMS

  • Ophthalmoplegia
  • Ptosis
  • Anhidrosis
  • Dilated and non-reactive pupil
  • Cornea, superior eyelid and/or forehead anesthesia
  • Proptosis

TREATMENT/MANAGEMENT

  • Trauma: surgical intervention, steroids controversial
  • Neoplastic: surgical intervention, radiation, chemotherapy, and/or steroids
  • Infectious: targeted antimicrobial therapy ± steroids
  • Vascular: endovascular intervention
  • Inflammatory: +/- Steroids

Related Link(s):


References

  • 1. Chen CT, Wang TY, Tsay PK, Huang F, Lai JP, Chen YR. Traumatic superior orbital fissure syndrome: assessment of cranial nerve recovery in 33 cases. Plast Reconstr Surg 2010;126(1):205-212. [PMID 20595868]
  • 2. Zachariades N, Vairaktaris E, Papavassiliou D, Papademetriou I, Mezitis M, Triantafyl
  • lou D. The superior orbital fissure syndrome. J Maxillofac Surg 1985;13(3):125-128. [PMID 3860588]
  • 3. Bone I, Hadley DM. Syndromes of the orbital fissure, cavernous sinus, cerebello- pontine angle, and skull base. J Neurol Neurosurg Psychiatry 2005;76 Suppl 3(Suppl 3):iii29-iii38. [PMID 16107388]
  • 4. Syamala DD, Reddy Kalluri PR, Singh HK, Ganne P. Superior Orbital Fissure Syndrome in a Case of Breast Cancer. Neuroophthalmology 2022;46(5):343-346. [PMID 36337231]
  • 5. Currie JN, Coppeto JR, Lessell S. Chronic syphilitic meningitis resulting in superior orbital fissure syndrome and posterior fossa gumma. A report of two cases followed for 20 years. J Clin Neuroophthalmol 1988;8(3):145-159. [PMID 2971679]
  • 6. Yong VK, Yip CC, Yong VS. Herpes zoster ophthalmicus and the superior orbital fissure syndrome. Singapore Med J 2001;42(10):485-486. [PMID 11874154]
  • 7. Jamshidian Tehrani M, Eshraghi B, Zamzam A, Latifi G, Yadegari S. Superior orbital fissure and orbital apex syndrome as rare complications of herpes zoster. Acta Neurol Belg 2017;117(4):943-946. [PMID 28551860]
  • 8. Lakke JP. Superior orbital fissure syndrome. Report of a case caused by local pachymeningitis. Arch Neurol 1962;7:289-300. [PMID 13928165]
  • 9. Ahmed B, Perry M, Shetty S. Interesting Case: Pseudoaneurysm of internal carotid artery after severe maxillofacial injury which caused superior orbital fissure syndrome. Br J Oral Maxillofac Surg 2006;44(4):316. [PMID 16061310]
  • 10. Chen CT, Chen YR. Traumatic superior orbital fissure syndrome: current management. Craniomaxillofac Trauma Reconstr 2010;3(1):9-16. [PMID 22110813]
  • 11. Badakere A, Patil-Chhablani P. Orbital Apex Syndrome: A Review. Eye Brain 2019;11:63-72. [PMID 31849556]
  • 12. Govsa F, Kayalioglu G, Erturk M, Ozgur T. The superior orbital fissure and its contents. Surg Radiol Anat 1999;21(3):181-185. [PMID 10431331]
  • 13. Goyal P, Lee S, Gupta N, Kumar Y, Mangla M, Hooda K, Li S, Mangla R. Orbital apex disorders: Imaging findings and management. Neuroradiol J 2018;31(2):104-125. [PMID 29415610]
  • 14. Caldarelli C, Benech R, Iaquinta C. Superior Orbital Fissure Syndrome in Lateral Orbital Wall Fracture: Management and Classification Update. Craniomaxillofac Trauma Reconstr 2016;9(4):277-283. [PMID 27833704]
  • 15. Girotra C, Gupta D, Tomar G, Nair A, Navalkha K, Parida S, Jain D. Bimodal Approach: A Key to Manage a Case of Traumatic Superior Orbital Fissure Syndrome. J Emerg Trauma Shock 2022;15(1):63-65. [PMID 35431475]
  • 16. Edwards P, Arango M, Balica L, Cottingham R, El-Sayed H, Farrell B, Fernandes J, Gogichaisvili T, Golden N, Hartzenberg B, Husain M, Ulloa MI, Jerbi Z, Khamis H, Komolafe E, Laloë V, Lomas G, Ludwig S, Mazairac G, Muñoz Sanchéz Mde L, Nasi L, Olldashi F, Plunkett P, Roberts I, Sandercock P, Shakur H, Soler C, Stocker R, Svoboda P, Trenkler S, Venkataramana NK, Wasserberg J, Yates D, Yutthakasemsunt S. Final results of MRC CRASH, a randomised placebo-controlled trial of intravenous corticosteroid in adults with head injury-outcomes at 6 months. Lancet 2005;365(9475):1957-1959. [PMID 15936423]
  • 17. Kushen M, Gulbahce HE, Lam CH. Ewing's sarcoma of the cavernous sinus: case report. Neurosurgery 2005;56(6):E1375; discussion E1375. [PMID 15918955]
  • 18. Nguyen VN, Khan NR, Arnautović KI. Cranio-Orbital Pretemporal Approach for Resection of Right Superior Orbital Fissure/Orbital Renal Cell Metastasis: 2-Dimensional Operative Video. Oper Neurosurg (Hagerstown) 2021;20(5):E364-e365. [PMID 33517422]
  • 19. Kirwan RP, Abdalla M, Hogan A, Tubridy N, Barry P, Power W. Superior orbital fissure syndrome in herpes zoster ophthalmicus. Ir J Med Sci 2009;178(3):355-358. [PMID 19139952]
  • 20. Jensen H, Thomsen ST, Hansen SS, Munksgaard SB, Lindelof M. Superior Orbital Fissure Syndrome and Ophthalmoplegia Caused by Varicella Zoster Virus with No Skin Eruption in a Patient Treated with Tumor Necrosis Alpha Inhibitor. Case Rep Neurol 2015;7(3):221-226. [PMID 26600786]
  • 21. Jin H, Gong S, Han K, Wang J, Lv L, Dong Y, Zhang D, Hou L. Clinical management of traumatic superior orbital fissure and orbital apex syndromes. Clin Neurol Neurosurg 2018;165:50-54. [PMID 29306766]

Suggested citation format:

Heinzman Z, Ahmed B, and Linton E. Superior Orbital Fissure Syndrome. EyeRounds.org. Jan. 26, 2024. Available from https://eyerounds.org/cases/355-Superior-Orbital-Fissure-Syndrome.htm


Image Permissions:
Creative Commons

Ophthalmic Atlas Images by EyeRounds.org, The University of Iowa are licensed under a Creative Commons Attribution-NonCommercial-NoDerivs 3.0 Unported License.