This site uses tracking information. Visit our privacy policy. Click to agree to this policy and not see this again.

Ophthalmology and Visual Sciences

Metastatic Choroidal Lesion:

61-year-old male presents with pain and blurry vision OD

Metastatic Choroidal Lesion:

61-year-old male presents with pain and blurry vision OD
Avinash Tantri, MD, Nasreen A. Syed, MD and Thomas A. Weingeist, MD, PhD
March 9, 2005

Chief Complaint: 61-year-old male presents to an outside hospital with eye pain and blurry vision, OD.

History of Presenting Illness: This patient initially noted blurry vision 6 weeks prior to this presentation. Pain had been steadily increasing since that time, for which the patient was referred to a local ophthalmologist. Locally, his vision was 20/80 and the physician noted inferotemporal choroidal infiltrate and exudative retinal detachment (RD). Echography of the eye was performed (B-scan) and mild choroidal thickening was observed.

Metastatic work up was performed due to the patient's history of lung cancer (see below). MRI of the head and orbits was performed at the outside facility and was negative for mass or infection. Laboratory work up and exam was otherwise negative. Following this evaluation, photocoagulation was applied to the choroidal lesion. Thereafter, the subretinal fluid was largely resorbed and the vision stablized.

However, 3-4 weeks later, the patient returned with increasing pain, nausea, and vision decreased again to 20/80. The patient was admitted locally for symptom control and further work up. Examination in the hospital revealed increased pain on extreme gaze, normal intraocular pressure (IOP), and a normal anterior segment examination. The globe was very tender to touch. On fundus examination, subretinal fluid (SRF) was noted to have recurred. A repeat B-scan was performed and again, slight choroidal thickening was evident, but there was no discrete mass. The patient was diagnosed with posterior scleritis and treated with steroids, NSAIDS, and pain control. While this regimen initially decreased the patients' pain and the SRF, both pain and SRF recurred within 2 months.

The patient was started on methotrexate and consultation from the University of Iowa was obtained. Examination is noted below.

Medical History

  • Known history of vascular disease (cardiac stent, 1999 and popliteal bypass, 2003)
  • Renal cyst-nephrectomy 2003
  • Arthritis-unknown type
  • Adenocarcinoma of the lung-lobectomy 2003, one involved lymph node, no known mets nor recurrence)

Family/Social History

  • Family history of diabetes, hypertension, stroke, and myocardial infarctions
  • Ex-smoker and rare alcohol use

Medications: aspirin, clopidogrel, metoprolol

OCULAR EXAM

  • Vision with best spectacle correction was 20/50-, OD and 20/20+, OS.
  • Extraocular motility: Full
  • Pupils: Anisocoria; OD 6 → 4 mm, OS 4.5 → 2.5 mm
  • IOP: 14 and 18 mmHg in OD and OS, respectively
  • Hertel exophthalmometer: normal (20mm OD, 20mm OS, base 102mm)
  • Anterior segment: Mild ciliary flush, OD, but no cell nor flare in the anterior chamber. Otherwise unremarkable.
  • Dilated fundus examination (DFE): In the right eye, there was a bullous, shifting, exudative inferior retinal detachment (RD) and a subretinal amelanotic choroidal mass (see Figures 2a, and 2b). The vitreous was clear. The DFE was normal in the left eye (see Figure 1).
Figure 1. Normal appearing fundus, OS

Figure 2
2A: Large exudative retinal detachment and pale inferotemporal mass, OD 2B: Fundus, OD

Fluorescein angiography was performed and is shown in Figure 3.

Figure 3: Fluorescein angiogram, OD. Note the extensive late staining of an area substantially larger than the pale mass itself

Course

Ultrasound was performed, OD. This revealed thickening of the underlying choroid of 3 mm. The area had medium to high reflectivity and high vascularity. There appeared to be no subtenon or episcleral involvement.

Systemic work-up was repeated. The liver function tests and other lab tests were essentially normal. Positron Emission Tomography (PET) scan showed a lesion in the thoracic spine suspicious for malignancy. The radiation oncology team consulted on the case recommended a biopsy of the eye.

Pars plana vitrectomy (PPV) was performed with air-fluid exchange, endolaser, and retinotomy. A fine needle aspiration biopsy (FNA) was obtained and the retina was reattached over the mass. However, histological evaluation of the FNA material revealed no cellular material.

At this point, management concerns included lack of positive identification of the mass, unremitting eye pain for the patient, and a possible malignancy in the thoracic spine. Enucleation was considered as it may help deteremine curative versus palliative systemic treatment if the lesion was found to be a malignancy. Additionally, tissue examination of the eye may also help with diagnosis and management of the lesion in the thoracic spine.

The decision was made to enucleate for symptom control and diagnosis.

Pathology

  • Gross: no transillumination defect
  • Glandular tissue with areas of necrosis
  • Invasion of the vortex vein and ciliary nerve
  • Cytokeratin AE1/AE3, cytokeratin CK7, thyroid transcription factor (TTF-1) positive (see Figures 4-8 and discussion below)
Figures 4 & 5
Figure 4: Low power view of globe; PO section. Note extensive choroidal thickening along the right half of the photomicrograph. Figure 5: Note glandular appearing tumor in choroid. Also note extensive fibrosis between choroid and retina.

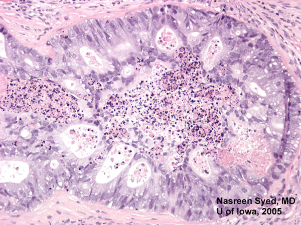
Figure 6: 100x view of glandular tumor with central necrosis. Metastatic adenocarcinoma of the lung

Figure 7: Note transcleral spread of tumor. Also, tumor invades long posterior ciliary nerve. This likely accounts for the patient's severe pain.

Figure 8: Immunohistochemical stains for anticytokeratin antibodies (AE1/AE3, CK7, CK20). Only CK 20 is negative, as expected (this marker is positive in some gastric and renal carcinomas). CK7 was positive and is a marker for both lung and breast tumors. The AE1/AE3 was positive. This is a marker for tumors of epithelial origin. The TTF-1 stain is positive, and corresponds to thyroid transcription factor. This stain is expected to be positive in certain lung and thyroid tumors.

Enucleation provided pain relief and definitive diagnosis. The thoracic spine lesion is likely another metastasis. The patient underwent palliative radiation therapy.

Discussion

Metastasis is the number-one cause of intraocular malignancies. In autopsy studies, they are found in up to 12% of cancer deaths. Metastases are bilateral in 4.4%-23%. Multiple metastases are seen in one eye in up to 20% of cases. The choroid is the most frequent location probably due to its extensive blood supply.

For metastases diagnosed while patients are alive, the most common tumors differ based on age and gender. In adult men, lung cancers are most common, followed by malignancies with an unknown primary source. Even with detailed evaluation by oncologists, the primary source may not be identified in some cases of poorly differentiated tumors. In adult women, breast cancer is most common, followed by lung cancer.

In the case of lung cancers, metastases may be the initial presenting sign of cancer. This is important for the ophthalmologist to remember. Breast metastases, on the other hand, are typically discovered after diagnosis of the primary malignancy. However, breast metastases may be the first sign of recurrent disease. Other common primary adult tumors include GI (hepatoma, gastric, colorectal), renal, prostate, cutaneous melanoma, and testicular.

In the pediatric population, neuroblastoma is the most common cause of intraocular metastasis. Recall that rhabdomyosarcoma, a very common pediatric "eye" tumor, is an orbital—not an intraocular—tumor.

In the patient described in this report, the metastasis was a sign of recurrence. Radiation and multi-agent chemotherapy may prolong survival in advanced lung cancer.

Ultrasound can be a useful adjunct to diagnosis. It can be especially useful to differentiate metastasis from choroidal melanoma. Metastases demonstrate greater reflectivity on ultrasound than choroidal melanoma. They also demonstrate a lower height-to-base ratio than choroidal melanoma. Metastases are also more likely to present with multiple foci, either in the same or fellow eye, than are primary choroidal melanomas.

Fluorescein angiogram is useful to delineate borders of the metastasis. In some cases, early hyperfluorescence followed by late staining will be observed.

In cases of newly discovered intraocular mass, an appropriate systemic workup should be pursued based on the individual patient’s history and physical exam. Biopsy of the metastasis or enucleation may be helpful to provide a tissue diagnosis.

Treatment is based on the type of malignancy, and may include chemotherapy, hormonal therapy and radiation. External beam and plaque radiotherapy may be particularly useful for ocular metastases.

Diagnosis: Metastatic Choroidal Lesion from Primary Adenocarcinoma of the Lung

EPIDEMIOLOGY

  • Metastases are the #1 cause of intraocular malignancy
  • Metastases can be found in up to 12% of cancer deaths
  • 4.4 - 23% are bilateral
  • Multiple foci located in 20%
  • #1 location in the eye for metastases is the choroid
  • #1 cancer metastatic to the eye in males is lung cancer
  • #1 cancer metastatic to the eye in females in breast cancer
  • #1 cancer metastatic to the eye in children in neuroblastoma

SIGNS

  • Choroidal thickening
  • Serous retinal detachment
  • Ultrasound may reveal low height-to-base ratio and medium to high reflectivity
  • FFA may demonstrate early arteriolar or arteriovenous staining of the lesion with late leakage.

SYMPTOMS

  • Often an incidental finding
  • Decreased vision
  • Eye pain

TREATMENT

  • Chemotherapy
  • Hormonal therapy
  • External beam radiation
  • Plaque radiotherapy
  • Enucleation

Differential Diagnoses for Choroidal Thickening/Mass:

  • Nevus/Melanoma
  • Hemangioma
  • Osteoma
  • Posterior scleritis
  • Retinal detachment
  • Infection
  • Old subretinal hemorrhage
  • Central serous retinopathy
  • Vogt-Koyanagi-Harada syndrome (VKH)
  • Wegener’s granulomatosis
  • Lymphoma
  • Uveal effusion syndrome
References
  1. Bloch RS, Gartner S. The incidence of ocular metastatic carcinoma. Arch Ophthalmol. 1971;85(6):673-5.
  2. Eliassi-Rad B, Albert DM, Green WR. Frequency of ocular metastases in patients dying of cancer in eye bank populations. Br J Ophthalmol. 1996;80(2):125-8.
  3. Ferry AP, Font RL. Carcinoma metastatic to the eye and orbit. I. A clinicopathologic study of 227 cases. Arch Ophthalmol. 1974;92(4):276-86.
  4. Freedman MI, Folk JC. Metastatic tumors to the eye and orbit. Patient survival and clinical characteristics. Arch Ophthalmol. 1987;105(9):1215-9.
  5. Shields CL, Shields JA, Gross NE, Schwartz GP, Lally SE. Survey of 520 eyes with uveal metastases. Ophthalmology. 1997;104(8):1265-76.
  6. Sobottka B, Schlote T, Krumpaszky HG, Kreissig I. Choroidal metastases and choroidal melanomas: comparison of ultrasonographic findings. Br J Ophthalmol. 1998;82(2):159-61.
Suggested citation format:

Tantri A, Syed NA, Weingeist TA. Metastatic Choroidal Lesion: 61-year-old male presents with pain and blurry vision OD. EyeRounds.org. March 9, 2005; Available http://www.EyeRounds.org/cases/35-MetastaticLungCA.htm.


last updated: 03-09-2005

Image Permissions:
Creative Commons

Ophthalmic Atlas Images by EyeRounds.org, The University of Iowa are licensed under a Creative Commons Attribution-NonCommercial-NoDerivs 3.0 Unported License.