This site uses tracking information. Visit our privacy policy. Click to agree to this policy and not see this again.

Ophthalmology and Visual Sciences

Cholesterol Granuloma

Cholesterol Granuloma

Aron Sampson, BS; Austin R. Fox, MD; Matthew A. Howard, MD; Erin M. Shriver, MD
Posted February 1, 2018

INITIAL PRESENTATION

History of Present Illness (HPI)

A 38-year-old male was referred to the University of Iowa oculoplastics service for evaluation of a right orbital mass.  One year prior, he noticed progressive proptosis of the right eye (OD), gradual blurring of vision OD, and some occasional ache OD.  He denied double vision, redness of the eye, or eyelid swelling.  He had experienced repeated head/orbital/eye trauma during "street boxing" several years prior. He denied any previous eye or orbital surgery.

Past Ocular History

  • Repeated orbital/eye trauma during "street boxing" several years prior to presentation. No previous significant ocular injuries, orbital fractures, or surgeries.

Past Medical History

  • Obesity
  • Anxiety and claustrophobia
  • Gastroesophageal reflux disease

Medications

No current medications

Allergies

Ibuprofen

Family History

Noncontributory

Social History

  • Current smoker - 1 pack per day
  • Uses alcohol socially
  • Retired "street boxer"

Review of Systems

Negative except per HPI

OCULAR EXAMINATION

Visual Acuity: Snellen

  • OD: 20/70 without correction, 20/40 pinhole
  • Left eye (OS): 20/15 without correction

Ocular Motility/Alignment

  • OD: Hypoglobus, limited supraduction (-3) and diplopia in upgaze, motility otherwise full
  • OS: Full

Figure 1: Cardinal gaze photos demonstrating right hypoglobus and motility restriction with limited supraduction OD and superior fullness of the right periorbital area.

Pupils

  • OD: 4 mm in dark, 2 mm in light, no relative afferent pupillary defect (RAPD)
  • OS:  4 mm in dark, 2 mm in light, no RAPD

Confrontation visual fields

Count fingers

  • OD: Full
  • OS: Full

External

  • OD: Superior periorbital fullness, no palpable mass, normal facial nerve function and sensation
  • OS: Normal
  • Exophthalmometry (Hertel)
    • Base: 94 mm
    • OD: 23 mm 
    • OS: 17 mm

Slit lamp exam

  • Eyelids/Lashes:
    • OD: Fullness of the right upper eyelid with elongated tarsal platform show on the right compared to the left
    • OS: Normal
  • Conjunctiva/Sclera: White and quiet OU
  • Cornea: Clear, no staining OU
  • Anterior Chamber: Deep and quiet OU
  • Iris: Normal architecture OU
  • Lens: Clear OU
  • Vitreous: Normal OU

Dilated fundus examination (DFE)

  • Disc: Normal OU
  • Cup-to-disc ratio: 0.3 OU
  • Macula
    • OD- Macular striae
    • OS- Normal
  • Vessels: Normal OU
  • Periphery: Normal OU

Imaging

Computed tomography (CT)

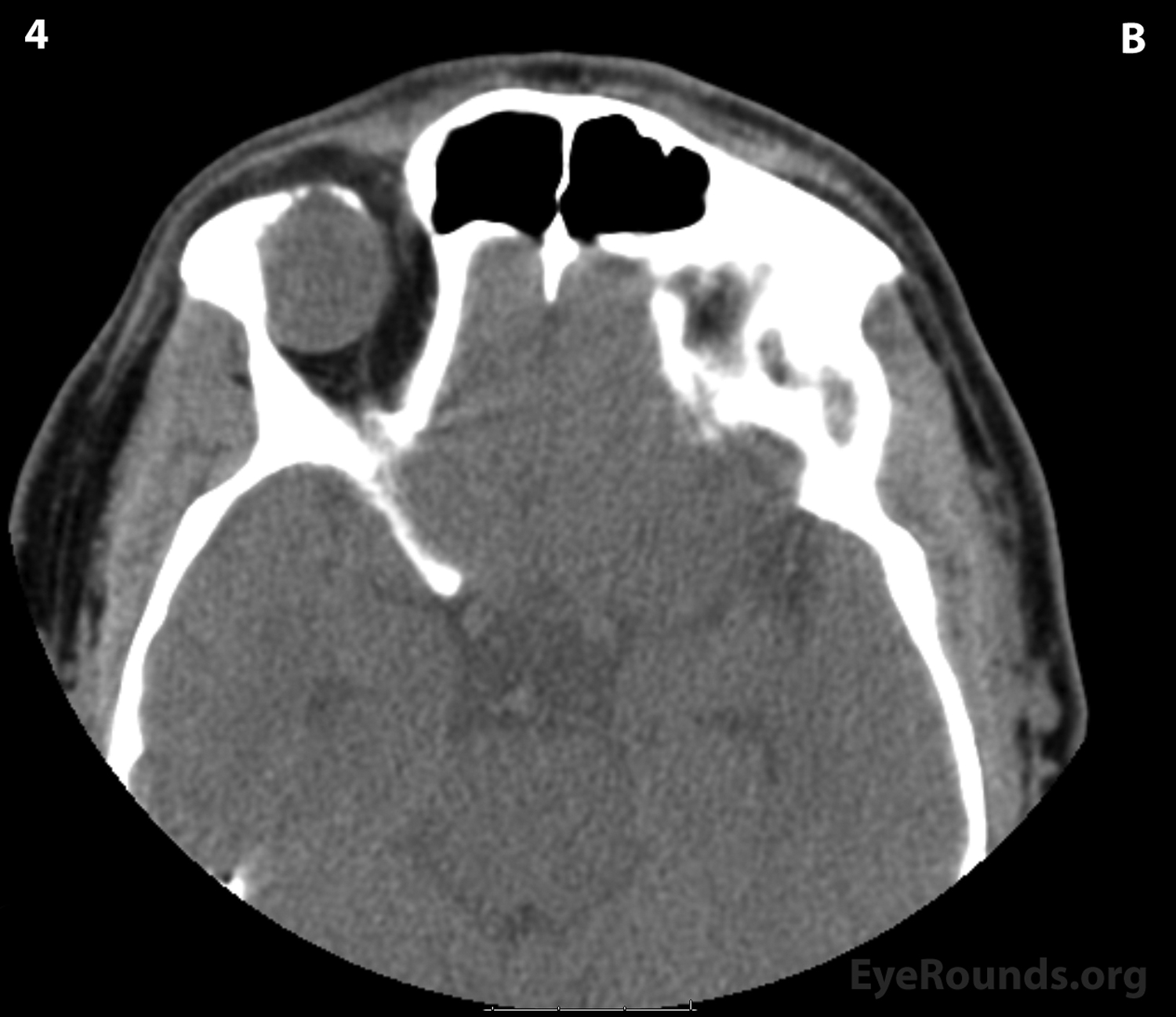
CT of orbits without contrast. (A) Coronal section

Figure 2: CT of orbits without contrast. (A) Coronal section; (B) Axial sections (superior to inferior 1-6): A circumscribed, encapsulated, soft tissue attenuation mass lesion in the superolateral right orbit can be seen eroding into the orbital roof and lateral right frontal bone. The mass appears to be compressing the superolateral globe and displacing the globe and superior and lateral recti anteriorly.

Magnetic resonance imaging (MRI)

T2 weighted MRI image, axial view

A: T2 weighted MRI image, axial view

T1 weighted (fat saturated) MRI image, coronal view

B: T1 weighted (fat saturated) MRI image, coronal view

T1 weighted MRI image, sagittal view

C: T1 weighted MRI image, sagittal view

Figure 3: MRI image of orbital mass. (A) Axial image, T2 weighted image demonstrating heterogeneous, hyperintense T2 signal of the mass impinging upon the right globe superiorly and posterolaterally. (B) Coronal, T1 weighted image demonstrating hyperintense T1 signal at the orbital mass. (C) Sagittal, T1 weighted image demonstrating hyperintense T1 signal of the orbital mass superior to and expanding into the right orbit. The mass measures 2.3 cm x 2.1 cm x 2.6 cm (anteroposterior x transverse x craniocaudal).

Additional testing

Goldmann visual field (OD)

Goldmann visual field of the right eye showing inferonasal depression of all isopters. 

Figure 4: Goldmann visual field of the right eye showing inferonasal depression of all isopters. 

CLINICAL COURSE

In a combined, multidisciplinary surgery, the neurosurgery and oculoplastics services removed the mass. After a supraorbital craniotomy and orbital osteotomy were performed, the mass was debulked and resected using Rhoton® dissectors and a micropituitary instrument with endoscopic guidance. Surgical pathology was obtained and demonstrated findings consistent with cholesterol granuloma, including numerous cholesterol crystal clefts with surrounding multinucleated giant cells, epithelioid histiocytes, and foamy macrophages (Figure 5).

Hematoxylin-eosin stained histopathology demonstrating numerous cholesterol crystal clefts, surrounding multinucleate giant cells, epithelioid histiocytes, and foamy macrophages, all of which are consistent with a cholesterol granuloma, 4x magnification

Hematoxylin-eosin stained histopathology demonstrating numerous cholesterol crystal clefts, surrounding multinucleate giant cells, epithelioid histiocytes, and foamy macrophages, all of which are consistent with a cholesterol granuloma; 10x magnification

Figure 5: (A) 4x magnification; (B) 10x magnification. Hematoxylin-eosin stained histopathology demonstrating numerous cholesterol crystal clefts, surrounding multinucleate giant cells, epithelioid histiocytes, and foamy macrophages, all of which are consistent with a cholesterol granuloma.

One month after the operation, the patient was seen in clinic, and best corrected visual acuity was 20/20 OD. There was no limitation in motility or diplopia in any field of gaze (Figure 6). The hypoglobus and proptosis were improved with exophthalmometry (Hertel) measuring 18 mm in right eye (23 mm prior) and 17 mm in left eye at a base of 94 mm.

Postoperative photos demonstrating no limitation in motility and resolution of the right hypoglobus.

Figure 6: Postoperative photos demonstrating no limitation in motility and resolution of the right hypoglobus.

Differential diagnosis

  • Dermoid cyst
  • Epidermoid cyst
  • Cholesteatoma
  • Bone cyst
  • Lacrimal gland tumor
  • Mucocele
  • Cholesterol granuloma

DIAGNOSIS

Cholesterol granuloma

DISCUSSION

Epidemiology

Cholesterol granulomas involving the orbit are a rare entity as they typically occur in the petrous apex of the temporal bone.  Denig described the first case of cholesterol granuloma involving the orbit in 1902, and since then less than 200 cases have been reported. [1-3] They typically present early in the 5th decade of life, but the age of presentation can range from the 2nd to 9th decade of life.[2-4] There is a large male predominance, which was reported to be 90% in one systematic review.[3]

Etiology/Pathophysiology

The exact etiology of cholesterol granulomas is unknown. However, the inciting factor results in the deposition of cholesterol crystals and a subsequent granulomatous inflammatory response. It is postulated that cholesterol crystals result from incompletely reabsorbed blood products following a hemorrhagic process.[5] It has traditionally been thought that trauma may be an inciting event for formation of cholesterol granulomas, though most patients (68%) do not recall a history of trauma.[3] Another proposed inciting factor is an anomaly within the frontal bone diploe resulting in secondary hemorrhage. [2-5]

Histopathology

Histopathology is important in confirming the diagnosis of a cholesterol granuloma. Cholesterol clefts, granulomatous inflammation (i.e. giant cells), and hemosiderin- and lipid-laden histiocytes are characteristically present. If present, fluid may consist of hematologic elements and inflammatory cells, including giant cells and histiocytes. There may be variable amount of fibrosis forming septations and a capsule. Of note, cholesterol granulomas lack epithelial elements, which differentiates it from epidermoid or dermoid cysts. [2-6]

Symptoms /Signs

As in our case, patients may complain of proptosis, which is the most commonly reported symptom (62%) associated with orbital cholesterol granulomas.[3] Other symptoms include periorbital swelling, double vision, blurring of vision, and eye pain or brow ache. On examination, proptosis and downward displacement of the globe may be quantified with measurements. A decrease in visual acuity, diplopia, binocular vertical diplopia, and restriction of motility may also be present on examination.[2,3]

Imaging

Orbital cholesterol granulomas are typically well-circumscribed, osteolytic masses that are almost always localized to the frontal bone in the area adjacent to the lacrimal gland. In a systematic review, orbital cholesterol granulomas were found to be located in the superotemporal orbit in 97% of cases when location was specified.[3] Due to their osteolytic nature, it is not uncommon to see bony erosion and expansion into the orbit.[2] Radiographic findings include a radiolucent defect in the superotemporal orbit in the setting of osteolysis. CT findings include a homogenous, extraconal, soft tissue mass which is isodense (or may be hypodense) with the brain which does not enhance with contrast. MRI findings include high T1- and T2-weighted signal intensities, due to the hemoglobin breakdown products, and there is lack of enhancement with gadolinium. The mass may appear homogenous or heterogenous when septae are present.[6]

Treatment/Management

Most cases are identified when patients become symptomatic and present for medical attention. Definitive management of cholesterol granulomas include removal of the granulomatous mass by orbitotomy with a brow incision or a craniotomy with a scalp flap approach.[2-4,6]  Drainage and curettage of the lesion and all residual material adherent to bone is necessary. Recurrence may occur if the lesion is not completely removed or if cholesterol crystals reaccumulate in the area of the lesion. The recurrence rate has been reported to be approximately 7%.[3] As in our case, endoscopy can be used to aid in the visualization and complete removal of the lesion.[7]

ETIOLOGY
  • Granulomatous inflammation secondary to cholesterol crystals derived from blood products
  • Source of blood product is unknown, however they may be due to:  
    • Trauma 
    • Anomalous frontal bone diploe
SIGNS
  • Proptosis
  • Restriction of motility
  • Refractive error
  • Superior periorbital fullness
  • Hypoglobus
SYMPTOMS
  • Progressive proptosis
  • Restriction of upgaze
  • Blurry vision
  • Eye pain/Brow ache
  • Diplopia (usually vertical binocular)
DIAGNOSIS/MANAGEMENT
  • Imaging with CT/MRI
  • Orbitotomy or craniotomy for drainage and curettage to remove lesion
  • Histopathology
References
  1. Denig R. Subperiosteal blood cyst of the orbit; report of a case. Ophthalmic Record 1902;11:187.
  2. McNab AA, Wright JE. Orbitofrontal cholesterol granuloma. Ophthalmology. 1990; 97:28–32.
  3. Hughes JD, Jacob JT, Garrity JA, Salomao DR, Link MJ. Orbitofrontal Cholesterol Granuloma: Four Case Reports and a Systematic Review of the English Literature. World Neurosurg. 2016; 87:355-61.
  4. Loeffler KU, Kommerell G. Cholesterol granuloma of the orbit - pathogenesis and surgical management. Int Ophthalmol. 1997;21:93–8.
  5. Selva D, Phipps SE, O'Connell JX, White VA, Rootman J. Pathogenesis of orbital cholesterol granuloma. Clin Exp Ophthalmol. 2003 Feb;31(1):78-82.
  6. Chow LP, McNab AA. Orbitofrontal cholesterol granuloma. J Clin Neurosci. 2005;12:206–9.
  7. Selva D, Chen C. Endoscopic approach to orbitofrontal cholesterol granuloma. Orbit. 2004 Mar;23(1):49-52.
Suggested citation format:

Sampson A, Fox AR, Howard MA, Shriver EM. Cholesterol Granuloma. EyeRounds.org. posted January 31, 2018; Available from https://EyeRounds.org/cases/266-cholesterol-granuloma.htm


last updated: 01/31/2018

Image Permissions:
Creative Commons

Ophthalmic Atlas Images by EyeRounds.org, The University of Iowa are licensed under a Creative Commons Attribution-NonCommercial-NoDerivs 3.0 Unported License.