This site uses tracking information. Visit our privacy policy. Click to agree to this policy and not see this again.

Ophthalmology and Visual Sciences

Grant syndrome (Syndrome of precipitates on the trabecular meshwork)

Grant syndrome (Syndrome of precipitates on the trabecular meshwork)

Bradley Sacher, MD, Wallace L. M. Alward, MD
July 7, 2014

History of Present Illness (HPI)

A 60-year-old male was referred for evaluation of elevated intraocular pressure (IOP) to 60 mmHg in the right eye (OD) with associated corneal edema.  The elevated IOP was first discovered two months prior. He was treated locally with a laser peripheral iridotomy (LPI) and was started on bimatoprost and brimonidine/timolol.

Past Ocular History

  • Pseudophakia, both eyes (OU)
  • Retinal detachment, left eye (OS) repaired with vitrectomy
  • Ocular hypertension, OD

Family Ocular History

  • No family history of glaucoma or other significant eye disease.

Past Medical History

  • Hyperlipidemia and depression.

Medications

  • Aspirin, desvenlafaxine, sertraline, and rosuvastatin.

Social History

  • He works as an engineer. There is no history of alcohol, tobacco or illicit drug use.

Review of Systems

  • Complete review of systems is negative except as stated in HPI.

Exam

Visual acuity without correction

  • 20/40 OD (20/25 with pinhole)
  • 20/25 OS (no improvement with pinhole)

Pupils

  • Equal and round with brisk light response and no relative afferent pupillary defect OU

Confrontation visual fields

  • Full to counting fingers OU

Extraocular movements

  • Full OU

Intraocular pressure (applanation)

  • 15 mmHg OD
  • 22 mmHg OS

Pachymetry

  • 658 microns OD
  • 639 microns OS

Slit Lamp Exam:

OD:

  • Eyelid: Normal lid position
  • Conjunctiva: No injection
  • Cornea: Rare pigment on the endothelium, no guttae
  • Anterior chamber: Deep and quiet
  • Iris: Two patent superior laser peripheral iridotomies, no transillumination defects and no pseudoexfoliative material
  • Lens: Posterior chamber intraocular lens with an open posterior capsule

OS:

  • Eyelid: Normal lid position
  • Conjunctiva: No injection
  • Cornea: Clear and compact, no guttae
  • Anterior chamber: Deep and quiet
  • Iris: Normal architecture, no transillumination defects and no pseudoexfoliative material
  • Lens: Posterior chamber intraocular lens with 2+ posterior capsular opacification

Gonioscopy

Spaeth grading system: (figure 1)

  • OD: D 40 f 1+, pigmented deposits on anterior trabecular meshwork inferiorly
  • OS: D 40 f 1+

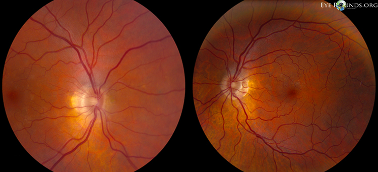
Fundus exam: (figure 2)

OD:

  • Media: Clear
  • Optic disc: Healthy rim, pink, 0.4 cup-to-disc ratio, peripapillary atrophy
  • Vessels: Normal course and caliber
  • Macula: Mild epiretinal membrane, otherwise flat
  • Periphery: Flat and unremarkable

OS:

  • Media: Clear
  • Optic disc: Healthy rim, pink, 0.3 cup-to-disc ratio, peripapillary atrophy
  • Vessels: Normal course and caliber
  • Macula: Mild epiretinal membrane, otherwise flat
  • Periphery: Flat and unremarkable

Clinical Course

The patient presented with a history of episodic elevated intraocular pressure with corneal edema in the right eye only. His first visit at the University of Iowa Hospitals and Clinics (UIHC) revealed a normal intraocular pressure in both eyes on bimatoprost and brimonidine/timolol OD.  The only pertinent exam findings were pigmented precipitates on the anterior trabecular meshwork OD on gonioscopy.

There was no evidence of an inflammatory or infectious process which could result in a unilateral open-angle glaucoma. There was no history or stigmata of herpetic disease and no cell seen in the anterior chamber to suggest Posner-Schlossman syndrome.  Additionally, there were no fine keratic precipitates or iris heterochromia with normal iris architecture and no neovascularization to suggest Fuchs heterochromic iridocyclitis.

Additionally, if the angle pigment was caused by the laser peripheral iridotomy (LPI) that was performed in 2013 we would have expected the pigment to layer over the pigmented trabecular meshwork.

Fortunately, the IOP was currently well-controlled and there was no evidence of glaucomatous damage.  He had a healthy optic nerve head with no cupping.  Ancillary testing revealed a healthy retinal nerve fiber layer (99 microns OD and 110 microns OS) on optical coherence tomography (OCT).  His Humphrey visual field testing demonstrated non-specific paracentral depression in the right eye and a full field in the left eye.

The patient was continued on his current regimen of glaucoma medications and a plan was made to treat with aggressive topical steroids should another flare occur.

Discussion

The syndrome of precipitates on the trabecular meshwork, also known by the eponym 'Grant syndrome' was first described by Paul Chandler and W Morton Grant in their 1965 textbook -Lectures on Glaucoma [1]. This is thought to be a unique inflammatory glaucoma with no other significant evidence of anterior segment inflammation. The only evidence of inflammation in these patients is the precipitates found on the trabecular meshwork.

This condition typically presents in older individuals (>50 years old) and there is a female predominance in most cases (79%) as described in a case series of 14 patients by Roth and Simmons in 1979 [2]. The precipitates were found bilaterally in 86% of patients and the range of intraocular pressure was from 30-70 mmHg, with a potential difference of up to 20 mmHg between eyes. There are described systemic conditions associated with Grant syndrome including sarcoidosis, rheumatoid arthritis, and ankylosing spondylitis [3,4]. 

The precipitates themselves are described as grey or slightly yellow, and have a tendency to be slightly broader and flatter than those that might be seen on the cornea [1-3]. There has been no association with the number of precipitates and the degree of elevation of intraocular pressure. There may be only a few precipitates seen with an intraocular pressure in the 40s-50s. Given the subtle appearance, Chandler and Grant stressed the importance of careful gonioscopy. Cohen et al, suggest that ultrasound biomicroscopy of the anterior segment may be used as a supplemental tool to detect subtle precipitates in Grant syndrome [3].

The underlying mechanism for elevated intraocular pressure in this patient population is thought to be similar to that of other uveitic open-angle glaucomas – namely trabecular swelling, trabecular obstruction with cell/debris, and/or trabecular hyalinization [2].

Management of Grant syndrome primarily consists of controlling inflammation. In the series by Roth and Simmons, all 14 patients in the series presented as failures to conventional maximum medical therapy. They elected to use hourly topical 0.1% dexamethasone and oral acetazolamide at a dose of 250 mg every 6 hours. This was continued for 6 weeks and at that time point 86% had an intraocular pressure in the 20s or lower. In the long-term follow-up (2-16 years) of the series, 64% had recurrence of the glaucoma [2].

One should consider the use of aggressive topical corticosteroids in patients with Grant syndrome. Additionally, aqueous suppressants should be considered for long-term IOP control in patients with persistently elevated intraocular pressure after the inflammation is controlled [5]. Also, as the inflammation has a tendency to recur, regular follow-up is recommended.

Our patient was already controlled without steroids. This may be a somewhat atypical presentation of Grant syndrome or perhaps the inflammation had run its course. We have not yet seen the patient back for follow-up to assess for any recurrences.

Diagnosis

Grant syndrome (Syndrome of precipitates on the trabecular meshwork)

EPIDEMIOLOGY

  • Uncommon condition
  • More common in women and older individuals (>50 years old)
  • May be associated with systemic inflammatory disease including: sarcoidosis, rheumatoid arthritis and ankylosing spondylitis

SIGNS

  • Elevated intraocular pressure (30-70 mmHg)
  • Precipitates on the trabecular meshwork with no other signs of inflammation in the anterior segment
  • IOP unresponsive to traditional glaucoma medications

SYMPTOMS

  • May have decreased vision or pain from elevated IOP and corneal edema
  • Otherwise minimal symptoms

TREATMENT

  • Aggressive topical corticosteroids
  • Aqueous suppressants if long-term IOP control is needed after acute episode resolves
  • Long-term follow-up important for all patients

Differential Diagnosis for Grant Syndrome

  • Uveitic glaucoma
  • Posner-Schlossman syndrome
  • Fuchs heterochromic iridocyclitis
  • Residual pigment after laser peripheral iridotomy
  • Pigment dispersion syndrome
  • Pseudoexfoliation syndrome
References
  1. Chandler PA, Grant WM: Lectures on glaucoma, Philadelphia, Lea & Febiger, 1965.
  2. Roth M, Simmons RJ. Glaucoma associated with precipitates on the trabecular meshwork. Ophthalmology. 1979; 86(9):1613-9.
  3. Cohen RG, Wu HK, Schuman JS. Glaucoma with inflammatory precipitates on the trabecular meshwork: a report of Grant's syndrome with ultrasound biomicroscopy of precipitates. J Glaucoma. 1996; 5(4):266-70.
  4. Shields MB. Textbook of Glaucoma. Fourth ed. Baltimore, Williams and Wilkins, 1998.
  5. Alward, WL. Glaucoma the Requisites in Ophthalmology.  St. Louis, Mosby, 2000.
Suggested citation format:

Sacher B, Alward WLM. Grant syndrome (Syndrome of precipitates on the trabecular meshwork) EyeRounds.org. July 7, 2014; available from https://eyerounds.org/cases/188-Grants-Syndrome.htm


last updated: 07/07/2014

Image Permissions:
Creative Commons

Ophthalmic Atlas Images by EyeRounds.org, The University of Iowa are licensed under a Creative Commons Attribution-NonCommercial-NoDerivs 3.0 Unported License.