This site uses tracking information. Visit our privacy policy. Click to agree to this policy and not see this again.

Ophthalmology and Visual Sciences

Orbital Osteoma

Orbital Osteoma

Gina M. Rogers, MD, Keith D. Carter, MD
June 3, 2011

Chief Complaint: Left eyelid mass

History of Present Illness: A healthy 20-year-old female presented to the Oculoplastics Clinic with a 9-month history of left upper lid droopiness. Over the same period of time, she also noted a "bump" at the nasal aspect of her upper eyelid and felt that it was increasing in size. She denied any vision changes, ocular pain, pain with eye movement, or headaches. A complete review of systems was negative.

Past Ocular History: Myopia

Medical History: Non-contributory

Medications: None

Review of Systems: Negative

OCULAR EXAMINATION

    Visual acuity

    • Right eye (OD): 20/20
    • Left eye (OS): 20/20

    Pupils: Briskly reactive without relative afferent pupillary defect

    Extraocular Motility: Full OU

    Intraocular pressure:

    • OD: 17mm Hg
    • OS: 18 mm Hg
    External Exam
      Right Left
    External Normal Fullness of superonasal orbit
    Exophthalmometry 17 mm 18 mm
    Palpebral Fissure 10 mm 9 mm
    Margin Reflex Distance 4 mm 4 mm with medial ptosis
    Palpation Within normal limits Superonasal immobile, hard, smooth lesion

    Slit lamp exam: Normal OU

    Dilated fundus exam: Normal disc with 0.2 cup to disc ratio and normal macula, vessels and periphery OU

    Figure 1: External Photograph demonstrating minimal medial ptosis of the left eyelid (click on Image for enlargement)
    External photograph, see caption for details

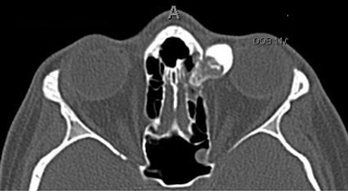
    Figures 2, 3, and 4: Axial and coronal CT images demonstrating the ill-defined hyperosteotic lesion in the superior medial orbit with extension into the ethmoid sinus (click on Image for enlargement)
    Figure 2, see caption above Figure 3, see caption
    figure 4, see caption

    CLINICAL COURSE

    Given the history of recent growth, the decision was made to perform an excisional biopsy of the lesion. The patient was taken to the operating room, where an anterior orbitotomy via an upper lid crease incision was performed. The dissection was continued superiorly in the preseptal plane to the level of the orbital rim superonasally and continued further through the orbital septum. The tumor and its extent was identified (Figure 5). The lesion became freely mobile once the ethmoid sinus was entered. Dissection continued until the mass was free of its attachments and removed (Figure 6). Anatomic pathology demonstrated histopathologic findings consistent with an osteoid osteoma and no evidence of atypia. The patient had no post-operative complications and is doing well.

    Figure 5: Intra-operative photograph (click on Image for enlargement)
    Intraoperative photograph

    Figure 6: Excised specimen (click on Image for enlargement)
    Excised specimen

    DISCUSSION

    Primary orbital bone tumors constitute a very small percentage of all orbital tumors. More often, osteomas originate from the paranasal sinuses. Among the bony orbital tumors, fibrous dysplasias and osteomas are the most commonly encountered entities (Selva et al 2004).

    An osteoid osteoma is a benign skeletal neoplasm of unknown etiology that is composed of osteoid and woven bones. Osteoid osteomas can occur in any bone, but in approximately two thirds of patients, the appendicular skeleton is involved. These lesions are encountered infrequently in the skull and facial bones, and they are usually smaller than 1.5 cm in diameter when they occur in these locations (Greenspan 1993). Osteomas are slow growing lesions that do not metastasize.

    A review of systems is important to perform because if joints are involved, pain and swelling may be among the presenting symptoms. Skull-based osteomas are often completely asymptomatic, unless they arise in an area that compromises their vision or hearing. Often, these lesions are detected on imaging inadvertently during a workup for another reason (Benatiya Andaloussi et al 2006).

    Osteoid osteomas generally occur in the frontal and ethmoid bones (Sires et al 1999). Radiographically, these tumors are well-circumscribed with dense cortical sclerosis surrounding a radiolucent nidus. Grossly, the lesion has a glistening, white to pink color and is either smooth or with rounded protuberances often described as being "knob-like." The interface between the osteoma and surrounding bone is usually abrupt.

    Histopathologically, these lesions have a central nidus of loose fibrovascular tissue surrounded by irregular trabeculae of bone and osteoid (unmineralized, organic bone matrix prior to bone maturation). The amount of osseous (mineralized, mature bone) and osteoid tissue varies within the nidus and is reflected in its radiologic opacity.

    Primary Orbital Bony Tumors
    Benign Malignant

    Osteoid osteoma

    Fibrous dysplasia

    Ossifying fibroma

    Osteoblastoma

    Chondroma

    Giant cell tumor

    Osteosarcoma

    Chondrosarcoma

    Mesenchymal chondrosarcoma

    Ewing sarcoma

    DIAGNOSIS: Orbital osteoid osteoma

    EPIDEMIOLOGY

    • Typically occur in a younger population (Greenspan 1993)
    • Majority of cases involve appendicular skeleton, rare bony tumor of the orbit

    SIGNS

    • If in the orbit, the lesion can displace structures leading to proptosis, ptosis, motility deficit, optic compression, or decreased visual acuity
    • Typically, well-circumscribed lesions with radio-lucent centers surrounded by radio-opaque rim

    SYMPTOMS

    • Skull based lesions are usually asymptomatic
    • Orbital lesions can lead to pain, visible deformity from the tumor, decreased extraocular motility, or loss of vision

    TREATMENT

    • Excision and histopathologic examination to exclude a malignancy
References

Benatiya Andaloussi I, Touiza E, Bhallil S, et al. Orbital osteoma: three case reports. Bull Soc Belge Ophtalmol. 2006;(300):73-9.

Greenspan A. Benign bone-forming lesions: osteoma, osteoid osteoma, and osteoblastoma. Clinical, imaging, pathologic, and differential considerationsSkeletal Radiol.  1993;22(7):485-500.

Selva D, White VA, O'Connell JX, et al. Primary bone tumors of the orbit. Surv Ophthalmol. 2004;49(3):328-42.

Sires BS, Benda PM, Stanley RB Jr, et al. Orbital osteoid osteoma. Arch Ophthalmol. 1999;117(3):414-5.


Suggested Citation Format: Rogers GM, Carter KD. Orbital Osteoma. EyeRounds.org. June 3, 2011; Available from: https://eyerounds.org/cases/133-orbital-osteoma.htm

Suggested citation format:

Graff JM, Oetting TA, Kwon YH. Intralenticular Foreign Body : 23-year-old male with staple in the eye. EyeRounds.org. January 31, 2007 ; Available from: http://www.EyeRounds.org/cases/63-Intralenticular-Foreign-Body-Open-Globe.htm.


last updated: 06-03-2011

Image Permissions:
Creative Commons

Ophthalmic Atlas Images by EyeRounds.org, The University of Iowa are licensed under a Creative Commons Attribution-NonCommercial-NoDerivs 3.0 Unported License.