This site uses tracking information. Visit our privacy policy. Click to agree to this policy and not see this again.

Ophthalmology and Visual Sciences

Malignant Hypertension

Malignant Hypertension

Category(ies): Retina, Systemic Disorders
Contributor: C. Blake Perry, MD

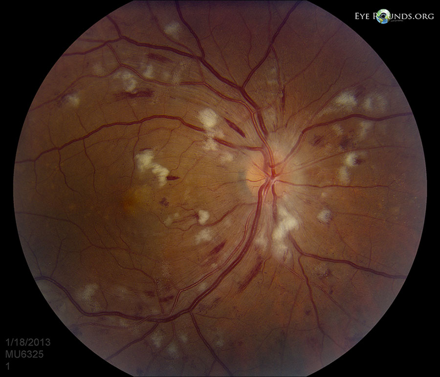
Fundus Photo. Patient is a 52-year-old male with malignant hypertension
Fundus Photo. Patient is a 52-year-old male with malignant hypertension